Clinicopathologic characteristics of secondary squamous cell carcinoma of head and neck in survivors of allogeneic hematopoietic stem cell transplantation for hematologic malignancies
- PMID: 30127467
- PMCID: PMC6484708
- DOI: 10.1038/s41409-018-0299-x
Clinicopathologic characteristics of secondary squamous cell carcinoma of head and neck in survivors of allogeneic hematopoietic stem cell transplantation for hematologic malignancies
Abstract
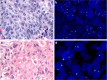
The risk of late complications including secondary malignancies is increased in long-term survivors of allogeneic hematopoietic stem cell transplants (HSCT). There is limited literature on the biological behavior and clinical features of squamous cell carcinoma (SCC) of head and neck post-HSCT. We present the clinical and pathologic characteristics on six patients who were diagnosed with SCC while in remission following an allogeneic HSCT. Median follow-up was 8 years. Five patients (83%) developed SCC of tongue and one developed esophageal SCC. Five patients had oral chronic graft-versus-host disease (cGvHD). The conventional risk factors of alcohol, tobacco, and human papillomavirus were absent. The most common presenting finding was the new-onset focal oral pain and ulcerated plaques clinically indistinguishable from a flare of their oral cGvHD lesions. We demonstrated that the SCC in three patients was of donor origin.
Conflict of interest statement
The authors declare that they have no conflict of interest.
Figures

References
Publication types
MeSH terms
LinkOut - more resources
Full Text Sources
Other Literature Sources
Research Materials