Localized Right Subclavian Artery Dissection Detected by Accident on an Ultrasound Examination: A Case Report and Literature Review
- PMID: 30146598
- PMCID: PMC6367090
- DOI: 10.2169/internalmedicine.1451-18
Localized Right Subclavian Artery Dissection Detected by Accident on an Ultrasound Examination: A Case Report and Literature Review
Abstract
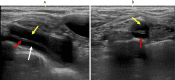
Right subclavian artery dissection was detected in a 78-year-old female victim of the Kumamoto earthquake during a carotid artery ultrasound examination. She was subsequently taken to hospital and diagnosed with localized subclavian artery dissection (LSAD) by contrast-enhanced computed tomography. There have been no previous reports of LSAD detected at a medical checkup. LSAD may progress and become severe, even in asymptomatic patients or patients with mild symptoms, and careful long-term follow-up is therefore required in all patients diagnosed with LSAD.
Keywords: Kumamoto earthquake; carotid artery ultrasound examination; localized right subclavian artery dissection.
Conflict of interest statement
Figures
References
-
- Hattori K. Repair of an occlusion of the right subclavian artery in the thoracic outlet to the axial artery caused by a clavicle fracture. Nihon Kekkangekagakkai Zasshi (Jpn J Vasc Surg) 25: 212-214, 2016(in Japanese, Abstract in English).
-
- Garewal M, Selhorst JB. Subclavian artery dissection and triple infarction of the nervous system. Arch Neurol 62: 1917-1919, 2005. - PubMed
Publication types
MeSH terms
LinkOut - more resources
Full Text Sources
Other Literature Sources
Molecular Biology Databases
