Giant cranionasal epithelioid haemangioendothelioma with invasive growth pattern mimicking a skull base chondrosarcoma
- PMID: 30150890
- PMCID: PMC6103236
- DOI: 10.5114/wo.2018.76235
Giant cranionasal epithelioid haemangioendothelioma with invasive growth pattern mimicking a skull base chondrosarcoma
Abstract
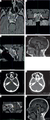
Epithelioid haemangioendothelioma (EHE) is a rare low-grade vascular neoplasm that is composed of mostly epithelioid cells. EHE may arise as a solitary tumour or in the form of multiple body lesions, and commonly occurs in soft tissues, liver, pleura, lung, peritoneum, lymph nodes, breast, and many other sites. EHE in the cranionasal region is extremely rare. There are very few reports of cases of skull-base EHE. We discuss an extremely rare presentation of an aggressive EHE that originated from the sellar region. Based on literature review, our patient is the first reported case of a giant solitary EHE with prepontine cistern invasion and abducens nerve encroachment mimicking a chondrosarcoma. We treated this rare tumour by near subtotal surgical excision with subsequent radiotherapy, considering that complete tumour resection with free margins in both cavernous sinus and clival region avoiding neural and vascular structure encroachment becomes technically difficult.
Keywords: cranionasal; epithelioid haemangioendothelioma; skull base; vascular tumour.
Conflict of interest statement
The authors declare no conflict of interest.
Figures



References
-
- Fernandes AL, Ratilal B, Mafra M, Magalhaes C. Aggressive intracranial and extra-cranial epithelioid hemangioendothelioma: A case report and review of the literature. Neuropathology. 2006;26:201–205. - PubMed
-
- Weiss SW, Enzinger FM. Epithelioid hemangioendothelioma: a vascular tumor often mistaken for a carcinoma. Cancer. 1982;50:970–981. - PubMed
Publication types
LinkOut - more resources
Full Text Sources
Other Literature Sources