Left ventricular assist device for ventricular recovery of anabolic steroid-induced cardiomyopathy
- PMID: 30151111
- PMCID: PMC6101629
- DOI: 10.1093/jscr/rjy221
Left ventricular assist device for ventricular recovery of anabolic steroid-induced cardiomyopathy
Abstract
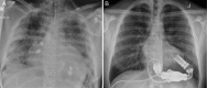
Herein we report a case of a 26-year-old gentleman with severe cardiomyopathy likely secondary to anabolic-androgenic steroid (AAS) abuse who received a HeartMate II (Abbott Laboratories, Abbott Park, IL) left ventricular assist device (LVAD) for rapidly deteriorating heart failure with hemodynamic compromise. Following 18 months on LVAD support, excellent recovery of ventricular function was achieved to allow for LVAD discontinuation. Given that active substance abuse is a contraindication to heart transplantation, few options remain for patients with AAS induced heart failure. Our case demonstrates that LVAD therapy can be an important intervention for bridging to candidacy, recovery or destination therapy.
Figures
References
-
- Montisci M, El Mazloum R, Cecchetto G, Terranova C, Ferrara SD, Thiene G, et al. Anabolic androgenic steroids abuse and cardiac death in athletes: morphological and toxicological findings in four fatal cases. Forensic Sci Int 2012;217:e13–8. http://www.ncbi.nlm.nih.gov/pubmed/22047750 - PubMed
-
- Hanrahan JS, Eberly C, Mohanty PK Substance abuse in heart transplant recipients: a 10-year follow-up study. Prog Transplant 2001;11:285–90. http://www.ncbi.nlm.nih.gov/pubmed/11871277 - PubMed
-
- Sondergaard EB, Thune JJ, Gustafsson F. Characteristics and outcome of patients with heart failure due to anabolic-androgenic steroids. Scand Cardiovasc J 2014;48:339–42. - PubMed
-
- Birks EJ, George RS, Hedger M, Bahrami T, Wilton P, Bowles CT, et al. Reversal of severe heart failure with a continuous-flow left ventricular assist device and pharmacological therapy: a prospective study. Circulation 2011;123:381–90. http://circ.ahajournals.org/cgi/doi/10.1161/CIRCULATIONAHA.109.933960 - PubMed
-
- Khvilivitzky K, Mountis MM, Gonzalez-Stawinski GV Heartmate II outflow graft ligation and driveline excision without pump removal for left ventricular recovery. Proc (Bayl Univ Med Cent) 2012;25:344–5. http://www.ncbi.nlm.nih.gov/pubmed/23077383 - PMC - PubMed
Publication types
LinkOut - more resources
Full Text Sources
Other Literature Sources
