Fenofibrate: A Nonlithogenic Means of Recurrent Drug-Induced Pancreatitis
- PMID: 30271638
- PMCID: PMC6151234
- DOI: 10.1155/2018/4580860
Fenofibrate: A Nonlithogenic Means of Recurrent Drug-Induced Pancreatitis
Abstract
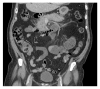
Medications account for a small portion of the various etiologies of acute pancreatitis. Prompt identification of drugs as the inciting factor decreases disease recurrence and unnecessary invasive diagnostic intervention. This case is a report of fenofibrate-induced acute pancreatitis including a disease recurrence with continuation of fenofibrate which subsequently resolved after drug discontinuation. The patient underwent invasive diagnostic evaluation including endoscopic ultrasound with fine needle aspiration and endoscopic retrograde cholangiopancreatography (ERCP). Based on exclusion of other disease etiologies and a positive drug rechallenge, fenofibrate fits as a class 1A medication in the classification of drug-induced pancreatitis.
Figures


References
Publication types
LinkOut - more resources
Full Text Sources