The Relationship between Anti-Myelin Oligodendrocyte Glycoprotein Antibody-Associated Disease and the Rubella Virus
- PMID: 30284774
- PMCID: PMC6172503
- DOI: 10.3988/jcn.2018.14.4.598
The Relationship between Anti-Myelin Oligodendrocyte Glycoprotein Antibody-Associated Disease and the Rubella Virus
Conflict of interest statement
The authors have no financial conflicts of interest.
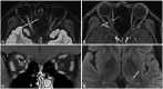
Figures
References
Publication types
Grants and funding
LinkOut - more resources
Full Text Sources
