Cerebral Small Vessel Disease: A Review Focusing on Pathophysiology, Biomarkers, and Machine Learning Strategies
- PMID: 30309226
- PMCID: PMC6186915
- DOI: 10.5853/jos.2017.02922
Cerebral Small Vessel Disease: A Review Focusing on Pathophysiology, Biomarkers, and Machine Learning Strategies
Abstract
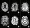
Cerebral small vessel disease (cSVD) has a crucial role in lacunar stroke and brain hemorrhages and is a leading cause of cognitive decline and functional loss in elderly patients. Based on underlying pathophysiology, cSVD can be subdivided into amyloidal and non-amyloidal subtypes. Genetic factors of cSVD play a pivotal role in terms of unraveling molecular mechanism. An important pathophysiological mechanism of cSVD is blood-brain barrier leakage and endothelium dysfunction which gives a clue in identification of the disease through circulating biological markers. Detection of cSVD is routinely carried out by key neuroimaging markers including white matter hyperintensities, lacunes, small subcortical infarcts, perivascular spaces, cerebral microbleeds, and brain atrophy. Application of neural networking, machine learning and deep learning in image processing have increased significantly for correct severity of cSVD. A linkage between cSVD and other neurological disorder, such as Alzheimer's and Parkinson's disease and non-cerebral disease, has also been investigated recently. This review draws a broad picture of cSVD, aiming to inculcate new insights into its pathogenesis and biomarkers. It also focuses on the role of deep machine strategies and other dimensions of cSVD by linking it with several cerebral and non-cerebral diseases as well as recent advances in the field to achieve sensitive detection, effective prevention and disease management.
Keywords: Biomarkers; Blood-brain barrier; Machine learning; Neuroimaging; Small vessel disease.
Figures
References
-
- Feigin VL, Norrving B, Mensah GA. Global burden of stroke. Circ Res. 2017;120:439–448. - PubMed
-
- Centers for Disease Control and Prevention Stroke facts. https://www.cdc.gov/stroke/facts.htm. 2017. Accessed April 3, 2018.
-
- Gomes J, Wachsman AM. Types of stroke. In: Corrigan ML, Escuro AA, Kirby DF, editors. Handbook of Clinical Nutrition and Stroke. New York, NY: Springer; 2013. pp. 15–32.
-
- Pantoni L. Cerebral small vessel disease: from pathogenesis and clinical characteristics to therapeutic challenges. Lancet Neurol. 2010;9:689–701. - PubMed
LinkOut - more resources
Full Text Sources
Medical
