Nebulised N-Acetylcysteine for Unresponsive Bronchial Obstruction in Allergic Brochopulmonary Aspergillosis: A Case Series and Review of the Literature
- PMID: 30326585
- PMCID: PMC6308940
- DOI: 10.3390/jof4040117
Nebulised N-Acetylcysteine for Unresponsive Bronchial Obstruction in Allergic Brochopulmonary Aspergillosis: A Case Series and Review of the Literature
Abstract
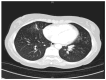
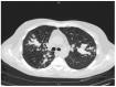
Many chronic lung diseases are characterized by the hypersecretion of mucus. In these conditions, the administration of mucoactive agents is often indicated as adjuvant therapy. N-acetylcysteine (NAC) is a typical example of a mucolytic agent. A retrospective review of patients with pulmonary aspergillosis treated at the National Aspergillosis Centre in Manchester, United Kingdom, with NAC between November 2015 and November 2017 was carried out. Six Caucasians with Aspergillus lung disease received NAC to facilitate clearance of their viscid bronchial mucus secretions. One patient developed immediate bronchospasm on the first dose and could not be treated. Of the remainder, two (33%) derived benefit, with increased expectoration and reduced symptoms. Continued response was sustained over 6⁻7 months, without any apparent toxicity. In addition, a systematic review of the literature is provided to analyze the utility of NAC in the management of respiratory conditions which have unresponsive bronchial obstruction as a feature.
Keywords: N-acetylcysteine; allergic bronchopulmonary aspergillosis; mucolytic.
Conflict of interest statement
Denning and family hold Founder shares in F2G Ltd., a University of Manchester spin-out antifungal discovery company, in Novocyt which markets the Myconostica real-time molecular assays. He acts or has recently acted as a consultant to Scynexis, Cidara, Biosergen, Quintilles, Pulmatrix and Pulmocide. In the last 3 years, he has been paid for talks on behalf of Astellas, Dynamiker, Gilead, Merck, and Pfizer. He is a longstanding member of the Infectious Disease Society of America Aspergillosis Guidelines group, the European Society for Clinical Microbiology and Infectious Diseases Aspergillosis Guidelines group, and the British Society for Medical Mycology Standards of Care committee. All other authors have no conflicts of interest to declare.
Figures



References
-
- Rubin B.K. Mucolytics, expectorants, and mucokinetic medications. Respir. Care. 2007;52:859–865. - PubMed
-
- Elkins M.R., Robinson M., Rose B.R., Robinson M., Rose B.R., Harbour C., Moriarty C.P., Marks G.B., Belousova E.G., Xuan W., et al. A controlled trial of long-term inhaled hypertonic saline in patients with cystic fibrosis. N. Engl. J. Med. 2006;354:229–240. doi: 10.1056/NEJMoa043900. - DOI - PubMed
Publication types
LinkOut - more resources
Full Text Sources