Abernethy malformation: beware in cases of unexplained hepatic encephalopathy in adults-case report and review of the relevant literature
- PMID: 30363163
- PMCID: PMC6159114
- DOI: 10.1259/bjrcr.20170054
Abernethy malformation: beware in cases of unexplained hepatic encephalopathy in adults-case report and review of the relevant literature
Abstract
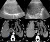
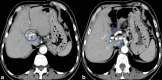
The Abernethy malformation consists of a congenital extrahepatic portosystemic shunt and is believed to be extremely rare in humans. The potential implications of abnormal portovenous shunting and decreased hepatic portal flow are numerous and potentially serious. Although congenital extrahepatic portosystemic shunts are increasingly suspected and diagnosed in specialized centres, much of their clinical presentation and natural history is not fully understood. Symptoms of portosystemic shunt are mainly caused by increased levels of ammonia, which lead to signs of encephalopathy. Therapeutic options depend on the type of shunt and its clinical course, so the classification of the congenital portosystemic shunt is a key finding in these patients.
Figures





References
-
- Abernethy J, Banks J.. Account of two instances of uncommon formation, in the viscera of the human body. By Mr. John Abernethy, assistant surgeon to St. Bartholomew’s hospital. communicated by Sir Joseph Banks, Bart. P. R. S. Philos Trans R Soc Lond 1793; 83: 59–66.
-
- Abernethy LJ. Classification and imaging of vascular malformations in children. Eur Radiol 2003; 13: 2483–97. - PubMed
-
- Morgan G, Superina R.. Congenital absence of the portal vein: two cases and a proposed classification system for portasystemic vascular anomalies. J Pediatr Surg 1994; 29: 1239–41. - PubMed
-
- Kobayashi N, Niwa T, Kirikoshi H, Fujita K, Yoneda M, Saito S, et al. . Clinical classification of congenital extrahepatic portosystemic shunts. Hepatol Res 2010; 40: 585–93. - PubMed
Publication types
LinkOut - more resources
Full Text Sources