Posterior reversible encephalopathy syndrome while receiving irinotecan with fluorouracil and folinic acid for metastatic gastric cancer
- PMID: 30363210
- PMCID: PMC6159153
- DOI: 10.1259/bjrcr.20170033
Posterior reversible encephalopathy syndrome while receiving irinotecan with fluorouracil and folinic acid for metastatic gastric cancer
Abstract
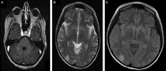
Posterior reversible encephalopathy syndrome (PRES) is a clinical-radiographic syndrome with seizures, headache, altered mental status and visual disturbances. It is typically associated with posterior cerebral white matter oedema on neuroimaging. There is an increasing number of cases of PRES reported with different chemotherapeutic protocols. However, PRES is rarely reported in association with irinotecan, fluorouracil and folinic acid (FOLFIRI). We report a 28-year-old female patient with a history of Stage IV gastric cancer who presented with abdominal pain and recurrent vomiting that was thought to be related to a partial intestinal obstruction secondary to peritoneal metastasis. Eventually, she was treated with FOLFIRI. A few hours after initiation of the fluorouracil infusion in the second cycle, she developed a tonic-clonic seizure. MRI of the brain showed multiple bilateral T 2 and flair hyperintense cortical and subcortical lesions suggestive of PRES. Other causes of PRES were excluded, as well as brain metastasis. Unfortunately, the patient developed septic shock and died a few days after her presentation.
Figures
References
-
- Hinchey J, Chaves C, Appignani B, Breen J, Pao L, Wang A, et al. A reversible posterior leukoencephalopathy syndrome. N Engl J Med 1996; 334: 494–500. - PubMed
-
- Raj S, Overby P, Erdfarb A, Ushay HM.. Posterior reversible encephalopathy syndrome: incidence and associated factors in a pediatric critical care population. Pediatr Neurol 2013; 49: 335–9. - PubMed
-
- Tam CS, Galanos J, Seymour JF, Pitman AG, Stark RJ, Prince HM.. Reversible posterior leukoencephalopathy syndrome complicating cytotoxic chemotherapy for hematologic malignancies. Am J Hematol 2004; 77: 72–6. - PubMed
Publication types
LinkOut - more resources
Full Text Sources
