Eosinophilic angiocentric fibrosis of the sinonasal tract
- PMID: 30363608
- PMCID: PMC6180858
- DOI: 10.1259/bjrcr.20150419
Eosinophilic angiocentric fibrosis of the sinonasal tract
Abstract
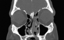
Eosinophilic angiocentric fibrosis (EAF) is an exceedingly rare and potentially disfiguring and obstructing benign lesion involving the upper airways. We report two cases of EAF originating from the nasal cavity in a 31-year-old female and a 58-year-old male exhibiting nasal obstructive symptoms, with imaging features and histopathology characteristic of EAF. Surgical excision was performed on one patient with a disfiguring nasal mass at a tertiary referral rhinology practice within a university centre. Summarized are the relevant clinical issues to increase awareness of this disease. The slow progression and rarity of the disease has previously resulted in diagnostic difficulty. We review the limited current literature surrounding the clinical features and treatment options for this progressive and potentially morbid condition. These cases reinforce that, while rare, inflammatory and fibrosing lesions in general should still be considered as part of the differential diagnosis in patients presenting with obstructive lesions in the sinonasal tract.
Figures




References
-
- Holmes DK, Panje WR. Intranasal granuloma faciale. Am J Otolaryngol 1983; 4: 184–6. - PubMed
-
- Roberts PF, McCann BG. Eosinophilic angiocentric fibrosis of the upper respiratory tract: a mucosal variant of granuloma faciale? A report of three cases. Histopathology 1985; 9: 1217–25. - PubMed
-
- Fageeh NA, Mai KT, Odell PF. Eosinophilic angiocentric fibrosis of the subglottic region of the larynx and upper trachea. J Otolaryngol 1996; 25: 276–8. - PubMed
-
- Thompson LD, Heffner DK. Sinonasal tract eosinophilic angiocentric fibrosis. A report of three cases. Am J Clin Pathol 2001; 115: 243–8. - PubMed
Publication types
LinkOut - more resources
Full Text Sources