Angiomyxoma of the ureter imitating an upper tract urothelial carcinoma: A case report
- PMID: 30368123
- PMCID: PMC6203239
- DOI: 10.1016/j.ijscr.2018.10.027
Angiomyxoma of the ureter imitating an upper tract urothelial carcinoma: A case report
Abstract
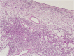
Introduction: Angiomyxomas are rare benign neoplasms of mesenchymal origin arising from the soft tissues of the perineum and pelvis.
Case presentation: To our knowledge, we report the first case of ureteral angiomyxoma arising de novo in a fifty-four-year-old female patient who presented with macroscopic hematuria.
Discussion: The pathological findings, radiological features and operative management will be discussed.
Conclusion: Angiomyxomas are notorious for their locally infiltrative nature and their propensity to recur. Clinical suspicion is capital to reach the diagnosis and a holistic care is key to a good outcome.
Keywords: Aggressive angiomyxoma; Angiomyxoma; Case report; Haematuria; Myxoid tumour; Ureter.
Copyright © 2018 The Authors. Published by Elsevier Ltd.. All rights reserved.
Figures



References
-
- Steeper T.A., Rosai J. Aggressive angiomyxoma of the female pelvis and perineum. Report of nine cases of a distinctive type of gynecologic soft-tissue neoplasm. Am. J. Surg. Pathol. 1983;7(5):463–475. - PubMed
-
- Agha R.A., Fowler A.J., Saeta A., Barai I., Rajmohan S., Orgill D.P., SCARE Group The SCARE statement: consensus-based surgical case report guidelines. Int. J. Surg. 2016;34:180–186. - PubMed
-
- Chihara Y., Fujimoto K., Takada S., Hirayama A., Cho M., Yoshida K. Aggressive angiomyxoma in the scrotum expressing androgen and progesterone receptors. Int. J. Urol. 2003;10:672–675. - PubMed
-
- Blandamura S., Cruz J., Faure Vergara L., Machado Puerto I., Ninfo V. Aggressive angiomyxoma: a second case of metastasis with patient’s death. Hum. Pathol. 2003;34:1072–1074. - PubMed
LinkOut - more resources
Full Text Sources