Skip to main page content
U.S. flag

An official website of the United States government

Dot gov

The .gov means it’s official.
Federal government websites often end in .gov or .mil. Before sharing sensitive information, make sure you’re on a federal government site.

Https

The site is secure.
The https:// ensures that you are connecting to the official website and that any information you provide is encrypted and transmitted securely.

Access keys NCBI Homepage MyNCBI Homepage Main Content Main Navigation
Review
. 2018 Sep-Oct;51(5):313-321.
doi: 10.1590/0100-3984.2017.0223.

Tomographic assessment of thoracic fungal diseases: a pattern and signs approach

Affiliations
Review

Tomographic assessment of thoracic fungal diseases: a pattern and signs approach

Pedro Paulo Teixeira E Silva Torres et al. Radiol Bras. 2018 Sep-Oct.

Abstract

Pulmonary fungal infections, which can be opportunistic or endemic, lead to considerable morbidity and mortality. Such infections have multiple clinical presentations and imaging patterns, overlapping with those of various other diseases, complicating the diagnostic approach. Given the immensity of Brazil, knowledge of the epidemiological context of pulmonary fungal infections in the various regions of the country is paramount when considering their differential diagnoses. In addition, defining the patient immunological status will facilitate the identification of opportunistic infections, such as those occurring in patients with AIDS or febrile neutropenia. Histoplasmosis, coccidioidomycosis, and paracoccidioidomycosis usually affect immunocompetent patients, whereas aspergillosis, candidiasis, cryptococcosis, and pneumocystosis tend to affect those who are immunocompromised. Ground-glass opacities, nodules, consolidations, a miliary pattern, cavitary lesions, the halo sign/reversed halo sign, and bronchiectasis are typical imaging patterns in the lungs and will be described individually, as will less common lesions such as pleural effusion, mediastinal lesions, pleural effusion, and chest wall involvement. Interpreting such tomographic patterns/signs on computed tomography scans together with the patient immunological status and epidemiological context can facilitate the differential diagnosis by narrowing the options.

Pneumopatias fúngicas proporcionam considerável morbidade e mortalidade, podendo ser oportunistas ou endêmicas. De maneira geral, as apresentações clínicas e padrões de imagem são múltiplos e superponíveis a várias doenças, dificultando a abordagem diagnóstica. Tendo em conta a amplitude do território nacional, o conhecimento da realidade epidemiológica dessas doenças em cada região é fundamental para a consideração delas no diagnóstico diferencial. A definição do estado imunológico irá, ainda, definir a possibilidade de doenças fúngicas oportunistas, por exemplo, na síndrome da imunodeficiência adquirida ou em situações de neutropenia febril. Em geral, histoplasmose, coccidioidomicose e paracoccidioidomicose comprometem indivíduos imunocompetentes, e aspergilose, candidíase, criptococose e pneumocistose comprometem indivíduos imunodeprimidos. Vidro fosco, nódulos, consolidações, micronódulos de disseminação miliar, lesões escavadas, sinal do halo/halo invertido e bronquiectasias são padrões tomográficos frequentes no acometimento pulmonar e serão abordados individualmente, além de apresentações menos frequentes, como lesões mediastinais, derrame pleural e acometimento da parede torácica. A interpretação desses padrões/sinais tomográficos básicos associados a dados epidemiológicos e estado imunológico do paciente pode ser útil, contribuindo para o estreitamento das opções diagnósticas.

Keywords: Diagnostic imaging; Invasive fungal infections; Tomography, X-ray computed.

PubMed Disclaimer

Figures

Figure 1
Figure 1
HIV-positive patient with pneumocystosis. High-resolution computed tomography of the upper lung lobes, showing diffuse ground-glass opacities in the pulmonary parenchyma and sparse small foci of consolidation.
Figure 2
Figure 2
Patient with acute lymphoid leukemia, febrile neutropenia, and angioinvasive fungal infection. A: Axial tomography scan of the chest showing an irregular nodule with a discrete ground-glass halo (halo sign). B: After antifungal therapy had been started, there was cavitation of the nodule, with an intracavitary nodule (air crescent sign).
Figure 3
Figure 3
Patient with untreated paracoccidioidomycosis. Axial high-resolution computed tomography scan of the chest, showing multiple sparse irregular nodules (arrows), some cavitary (arrowheads).
Figure 4
Figure 4
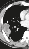
Patient with cryptococcosis. Contrast-enhanced axial tomography scan of the chest, with a mediastinal window setting, showing lobular peripheral consolidation with a central necrosis component (arrowhead).
Figure 5
Figure 5
Patient with paracoccidioidomycosis. Axial tomography of the chest, with a lung window setting, showing numerous sparse groups of micronodules and a lesion with the reversed halo sign in the left lower lobe (arrow).
Figure 6
Figure 6
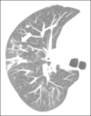
Patient with miliary histoplasmosis. Axial tomography of the chest, with a lung window setting, showing micronodules with a random distribution.
Figure 7
Figure 7
Patient with a history of acute lymphoid leukemia and chronic necrotizing aspergillosis. Axial high-resolution computed tomography of the chest, showing chronic consolidations in the left lung lobes, accompanied by bronchiectasis, with a prominent, filled cavitary lesion in the left lower lobe (arrow).
Figure 8
Figure 8
Patient with histoplasmosis. Axial high-resolution computed tomography of the chest, showing centrilobular opacities and bilateral sparse foci of consolidation, in addition to a cavitary lesion in the right lower lobe. Small pneumothorax on the left.
Figure 9
Figure 9
Patient with saprophytic fungal infection. Axial tomography of the chest, with a lung window setting, showing a cavitary lesion in the middle lobe, with a mobile nodule in the interior (aerial crescent), a characteristic aspect of saprophytic aspergillosis (white arrow). As an additional finding, bronchiectasis in the same wolf (leaked arrow).
Figure 10
Figure 10
Patient with asthma and allergic bronchopulmonary aspergillosis. Axial tomography of the chest, with a lung window setting, showing predominantly central varicose bronchiectasis accompanied by bronchial parietal thickening (arrows).
Figure 11
Figure 11
Patient with acute myeloid leukemia and invasive pulmonary aspergillosis. Axial chest tomography with maximum intensity projection reconstruction showing centrilobular opacities grouped in a tree-in-bud arrangement (arrow).
Figure 12
Figure 12
Patient with fibrosing mediastinitis. Contrast-enhanced coronal tomography of the chest, with a mediastinal window setting and maximum intensity projection reconstruction, showing a right-sided subcarinal, hilar infiltrative lesion (arrow), obliterating the pulmonary artery of that side, with an extensive network of collaterals.

References

    1. Xavier MO, Oliveira FM, Severo LC. Capítulo 1 - Diagnóstico laboratorial das micoses pulmonares. J Bras Pneumol. 2009;35:907–919. - PubMed
    1. McAdams HP, Rosado-de-Christenson ML, Lesar M, et al. Thoracic mycoses from endemic fungi: radiologic-pathologic correlation. Radiographics. 1995;15:255–270. - PubMed
    1. McAdams HP, Rosado-de-Christenson ML, Templeton PA, et al. Thoracic mycoses from opportunistic fungi: radiologic-pathologic correlation. Radiographics. 1995;15:271–286. - PubMed
    1. Chong S, Lee KS, Yi CA, et al. Pulmonary fungal infection: imaging findings in immunocompetent and immunocompromised patients. Eur J Radiol. 2006;59:371–383. - PubMed
    1. Brasil. Ministério da Saúde. Secretaria de Vigilância em Saúde Proposta de vigilância epidemiológica da paracoccidioidomicose. [2017 Aug 18]. Available from: http://www.sgc.goias.gov.br/upload/arquivos/2012-05/proposta_ve-pbmicose....

LinkOut - more resources