Idiopathic interstitial pneumonias: review of the latest American Thoracic Society/European Respiratory Society classification
- PMID: 30369660
- PMCID: PMC6198836
- DOI: 10.1590/0100-3984.2016.0134
Idiopathic interstitial pneumonias: review of the latest American Thoracic Society/European Respiratory Society classification
Abstract
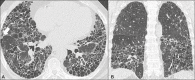
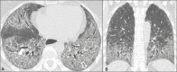
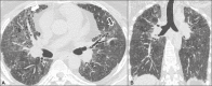
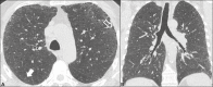
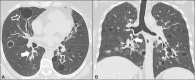
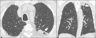
The diagnosis of idiopathic interstitial pneumonias (IIPs) involves a multidisciplinary scenario in which the radiologist assumes a key role. The latest (2013) update of the IIP classification by the American Thoracic Society/European Respiratory Society proposed some important changes to the original classification of 2002. The novelties include the addition of a new disease (idiopathic pleuroparenchymal fibroelastosis) and the subdivision of the IIPs into four main groups: chronic fibrosing IIPs (idiopathic pulmonary fibrosis and nonspecific interstitial pneumonia); smoking-related IIPs (desquamative interstitial pneumonia and respiratory bronchiolitis-associated interstitial lung disease); acute or subacute IIPs (cryptogenic organizing pneumonia and acute interstitial pneumonia); rare IIPs (lymphoid interstitial pneumonia and idiopathic pleuroparenchymal fibroelastosis); and the so-called "unclassifiable" IIPs. In this study, we review the main clinical, tomographic, and pathological characteristics of each IIP.
ResumoO diagnóstico das pneumonias intersticiais idiopáticas (PIIs) envolve um cenário multidisciplinar no qual o radiologista assume papel fundamental. A última atualização (2013) da classificação das PIIs pela American Thoracic Society/European Respiratory Society propõe algumas mudanças importantes em relação à classificação original de 2002. Dentre as novidades, destacam-se o acréscimo de uma nova doença (fibroelastose pleuroparenquimatosa idiopática) e a subdivisão das PIIs em quatro grupos principais: PIIs crônicas fibrosantes (fibrose pulmonar idiopática e pneumonia intersticial não específica); PIIs relacionadas ao tabagismo (pneumonia intersticial descamativa e bronquiolite respiratória com doença intersticial pulmonar); PIIs agudas/subagudas (pneumonia em organização e pneumonia intersticial aguda); PIIs raras (pneumonia intersticial linfocítica e fibroelastose pleuroparenquimatosa idiopática); além das ditas “inclassificáveis”. Foram revisadas, de forma didática neste estudo, as principais características clínicas, tomográficas e patológicas de cada uma das PIIs.
Keywords: American Thoracic Society; European Respiratory Society; Idiopathic interstitial pneumonia.
Figures








References
LinkOut - more resources
Full Text Sources
Other Literature Sources