Skip to main page content
U.S. flag

An official website of the United States government

Dot gov

The .gov means it’s official.
Federal government websites often end in .gov or .mil. Before sharing sensitive information, make sure you’re on a federal government site.

Https

The site is secure.
The https:// ensures that you are connecting to the official website and that any information you provide is encrypted and transmitted securely.

Access keys NCBI Homepage MyNCBI Homepage Main Content Main Navigation
Case Reports
. 2018 Sep;10(9):E699-E703.
doi: 10.21037/jtd.2018.08.69.

A case of coronary arterio-venous fistula: the role of cardiac computed tomography

Affiliations
Case Reports

A case of coronary arterio-venous fistula: the role of cardiac computed tomography

Ernesto Forte et al. J Thorac Dis. 2018 Sep.
No abstract available

PubMed Disclaimer

Conflict of interest statement

Conflicts of Interest: The authors have no conflicts of interest to declare.

Figures

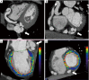
Figure 1
Figure 1
Axial and basal short axis CT images representing the coronary arterio-venous fistula (white arrow). The vessel carries out tortuous kinkings before reaching the crux cordis (A,B); (C,D) perfusion maps: long axis and short axis views representing the inferior defects near fistula and the anterior defects in myocardium supplemented by LAD. LAD, left anterior descending artery.
Figure 2
Figure 2
The course of the arterio-venous fistula is reproduced ranging from the acute margin to the obtuse margin (4). Available online: http://www.asvide.com/article/view/27403
Figure 3
Figure 3
Upper panels: vascular tree rendering (ascending aorta in green, right coronary artery in orange, left coronary artery in brown, great cardiac vein in blue, fistula in yellow, coronary sinus in violet). Lower panels: 3D volume rendering (left ventricle in green, right ventricle in grey, vascular tree in red, left atrium in violet, right atrium in blue, pulmonary trunk in orange).

References

    1. Yun G, Nam TH, Chun EJ. Coronary Artery Fistulas: Pathophysiology, Imaging Findings, and Management. Radiographics 2018;38:688-703. 10.1148/rg.2018170158 - DOI - PubMed
    1. Jáni L, Mester A, Hodas R, et al. Computed Tomography Assessment of Coronary Fistulas. J Interdiscip Med 2017;2:155-9. 10.1515/jim-2017-0052 - DOI
    1. Forte E, Aiello M, Inglese M, et al. Coronary artery aneurysms detected by computed tomography coronary angiography. Eur Heart J Cardiovasc Imaging 2017;18:1229-35. 10.1093/ehjci/jew218 - DOI - PubMed
    1. Forte E, Infante T, Baldi D, et al. The course of the arterio-venous fistula is reproduced ranging from the acute margin to the obtuse margin. Asvide 2018;5:784. Available online: http://www.asvide.com/article/view/27403
    1. Osawa K, Miyoshi T, Morimitsu Y, et al. Comprehensive assessment of morphology and severity of atrial septal defects in adults by CT. J Cardiovasc Comput Tomogr 2015;9:354-61. 10.1016/j.jcct.2015.04.007 - DOI - PubMed

Publication types