Suspected Pericardial Tuberculosis Revealed as an Amyloid Pericardial Mass
- PMID: 30416832
- PMCID: PMC6207883
- DOI: 10.1155/2018/8606430
Suspected Pericardial Tuberculosis Revealed as an Amyloid Pericardial Mass
Abstract
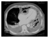
Primary systemic amyloidosis is not easily diagnosed. The immunoglobulin deposits are usually localized in the kidney, heart, and liver. We describe an unusual case of a patient suffering from a pericardial amyloidoma with internal calcifications and air bubbles that compressed the right ventricle and shifted the heart to the left. Since the patient was in shock, urgent pericardiotomy was performed. This site showed PET uptake. A monoclonal component was present. On these findings, differential diagnoses included multiple myeloma and atypical pericardial tuberculosis, whereas a periumbilical fat tissue biopsy demonstrated amyloidosis. A previous Salmonella species infection had most likely stimulated the production of amyloid. The patient received bortezomib/dexamethasone treatment and achieved a good response.
Figures



References
-
- Merlini G., Dammacco F. Amiloidosi e manifestazioni cliniche correlate. Internal and Emergency Medicine. 2006;1(S1–3):83S–109S.
Publication types
LinkOut - more resources
Full Text Sources