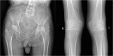
Alkaptonuria
- PMID: 30449931
- PMCID: PMC6224644
- DOI: 10.1016/j.mjafi.2017.06.006
Alkaptonuria
Keywords: Alkaptonuria; Homogentisic acid; Ochronosis.
Figures




References
-
- Pathak S.V., Kolwadkar P.K., Hemnani T.J., Phatak M.S., Hemnani J.T. Alkaptonuria. IJRI. 2006;16:573–576.
-
- Baeva M., Bueno A., Dhimes P. AIRP best cases in radiologic–pathologic correlation: ochronosis. Radiographics. 2011;31:1163–1167. - PubMed
-
- Parikh A., Khubchandani R.P., Bharucha B.A., Kumta N.B., Pandya M.B., Naik G. Alkaptonuria – a series of seven cases. J Assoc Phys India. 1988;36:565–566. - PubMed
-
- Coggins C., Hayes C. Ochronosis. In: Pope T.L., Bloem H.L., Beltrán J., editors. Imaging of the Musculoskeletal System. Saunders; Philadelphia, PA: 2008. pp. 1183–1188.
Publication types
LinkOut - more resources
Full Text Sources