Skip to main page content
U.S. flag

An official website of the United States government

Dot gov

The .gov means it’s official.
Federal government websites often end in .gov or .mil. Before sharing sensitive information, make sure you’re on a federal government site.

Https

The site is secure.
The https:// ensures that you are connecting to the official website and that any information you provide is encrypted and transmitted securely.

Access keys NCBI Homepage MyNCBI Homepage Main Content Main Navigation
Review
. 2018 Oct;7(5):556-561.
doi: 10.21037/tlcr.2018.06.07.

Extended pleurectomy decortication: the current role

Affiliations
Review

Extended pleurectomy decortication: the current role

Rocco Bilancia et al. Transl Lung Cancer Res. 2018 Oct.

Abstract

Extended pleurectomy/decortication (EPD) has been formally defined but there remain technical areas of debate between practitioners. This is partly attributable to the relative rarity of this operation which is largely confined to a small number of specialist centres. Nevertheless, there is a widespread acceptance that extended pleurectomy/decortication (P/D) is a realistic and favourable alternative to extrapleural pneumonectomy. There may, however, remain a small number of clinical cases where this more extensive operation may be indicated. Preservation of the lung has widened the selection criteria for this form of radical mesothelioma surgery but there remain important factors to consider when offering extended P/D. In many patients with poorer prognostic factors the less radical operation of video assisted partial pleurectomy may be preferable. However, a randomized trial showed no survival benefit for this operation over simple talc pleurodesis. The future for P/D may also lie in the outcome of the MARS2 randomized controlled trial which will report in the next few years. Meanwhile there is a clinical and ethical dilemma when asked to perform this operation outside of the context of a clinical trial in the face of the lack of high grade evidence. The role of P/D is in one respect expanding but this may be short lived pending the findings of its assessment against non-surgical treatment.

Keywords: Pleural mesothelioma; pleurectomy/decortication (P/D); surgery.

PubMed Disclaimer

Conflict of interest statement

Conflicts of Interest: The authors have no conflicts of interest to declare.

Figures

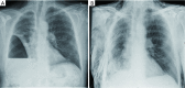
Figure 1
Figure 1
(A) Preoperative chest X-ray of patient affected by MPM. It shows trapped right lung and fluid level; (B) early postoperative film after the patient underwent VATS-PP which achieved complete lung re-expansion. MPM, malignant pleural mesothelioma; VATS-PP, VATS partial pleurectomy.
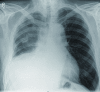
Figure 2
Figure 2
Follow up chest X-ray of a patient who underwent EPD 12 months before. EPD, extended pleurectomy/decortication.

References

    1. Rice D, Rusch V, Pass H, et al. Recommendations for uniform definitions of surgical techniques for malignant pleural mesothelioma: a consensus report of the international association for the study of lung cancer international staging committee and the international mesothelioma interest group. J Thorac Oncol 2011;6:1304-12. 10.1097/JTO.0b013e3182208e3f - DOI - PubMed
    1. Rice D, Chansky K, Nowak A, et al. The IASLC Mesothelioma Staging Project: Proposals for Revisions of the N Descriptors in the Forthcoming Eighth Edition of the TNM Classification for Pleural Mesothelioma. J Thorac Oncol 2016;11:2100-11. - PubMed
    1. Pass HI, Giroux D, Kennedy C, et al. Supplementary prognostic variables for pleural mesothelioma: a report from the IASLC staging committee. J Thorac Oncol 2014;9:856-64. 10.1097/JTO.0000000000000181 - DOI - PMC - PubMed
    1. Wain JC, Kaiser LR, Johnstone DW, et al. Trial of a novel synthetic sealant in preventing air leaks after lung resection. Ann Thorac Surg 2001;71:1623-8; discussion 1628-9. 10.1016/S0003-4975(01)02537-1 - DOI - PubMed
    1. LoCicero J, 3rd, Hartz RS, Frederiksen JW, et al. New applications of the laser in pulmonary surgery: hemostasis and sealing of air leaks. Ann Thorac Surg 1985;40:546-50. 10.1016/S0003-4975(10)60346-3 - DOI - PubMed