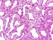
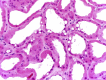
Hypokalemic Nephropathy
- PMID: 30450476
- PMCID: PMC6224672
- DOI: 10.1016/j.ekir.2018.07.014
Hypokalemic Nephropathy
Figures




References
-
- Christe G. Effects of low [K+]o on the electrical activity of human cardiac ventricular and Purkinje cells. Cardiovasc Res. 1983;17:243–250. - PubMed
-
- Relman A.S., Schwartz W.B. The nephropathy of potassium depletion: a clinical and pathological entity. N Engl J Med. 1956;255:195–203. - PubMed
-
- Lin S.H., Lin Y.F., Chen D.T. Laboratory tests to determine the cause of hypokalemia and paralysis. Arch Intern Med. 2004;164:1561–1566. - PubMed
Publication types
LinkOut - more resources
Full Text Sources