Colocolonic intussusception in an adult cystic fibrosis patient
- PMID: 30503033
- PMCID: PMC7227133
- DOI: 10.1016/j.jcf.2018.11.013
Colocolonic intussusception in an adult cystic fibrosis patient
Abstract
Purpose: To raise awareness of colocolonic intussusception as a gastrointestinal complication of CF mimicking distal intestinal obstruction syndrome (DIOS) and discuss risk of recurrence.
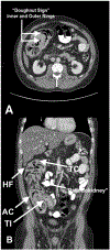
Case summary: A 33-year-old Caucasian male with cystic fibrosis presented with an acute abdomen diagnosed via imaging as colocolonic intussusception. He was managed with fluid replacement therapy and polyethylene glycol. He was re-admitted due to recurrence likely secondary to recurrent constipation and development of a fecalith. Surgery was contraindicated due to absence of tissue ischemia or necrosis.
Discussion: Several possible etiological factors have been described, especially some that tend to occur within the context of CF disease, such as DIOS and PERT, and symptoms of colocolonic intussusception are similar to those of other causes of an acute abdomen but distinguishable by advanced imaging modalities. Due to risk of recurrence, an etiology of intussusception should be sought.
Conclusion: Colo-colonic intussusception is a rare cause of an acute abdomen in the adult Cystic Fibrosis (CF) patient and may be associated with underlying constipation or presence of a fecalith.
Keywords: Colocolonic intussusception; Cystic fibrosis (CF); Distal Intestinal Obstruction Syndrome (DIOS); Gastrointestinal manifestations of CF.
Copyright © 2018. Published by Elsevier B.V.
Conflict of interest statement
Conflicts of interest
None.
Figures

References
-
- Nash EF, Stephenson A, Helm EJ, Ho T, Thippanna CM, Ali A, et al. Intussusception in adults with cystic fibrosis: a case series with review of the literature. Dig Dis Sci 2011;56(12):3695–700. - PubMed
-
- Ashcraft KW, Holcomb GW III, Murphy JP, Ostlie DJ. Ashcraft’s pediatric surgery. Philadelphia: Saunders/Elsevier; 2010. Available from: ClinicalKey http://www.clinicalkey.com/dura/browse/bookChapter/3-s2.0-B9781416061274.... ClinicalKey http://www.clinicalkey.com.au/dura/browse/bookChapter/3-s2.0-B9781416061.... MDConsult http://www.mdconsult.com/public/book/view?title=Holcomb+&+Murphy:+Ashcra.... ScienceDirect http://www.sciencedirect.com/science/book/9781416061274http://www.mdconsult.com/book/player/linkTo?type=bookHome&isbn=978-1-416....
-
- Kelly T, Buxbaum J. Gastrointestinal manifestations of cystic fibrosis. Dig Dis Sci 2015; 60(7):1903–13. - PubMed
-
- Canny JD, Brookes A, Bowley DB. Distal intestinal obstruction syndrome and colonic pathologies in cystic fibrosis. British J Hosp Med 2017;78(1):38–43 London, England: 2005. - PubMed
Publication types
MeSH terms
Substances
Grants and funding
LinkOut - more resources
Full Text Sources
Medical