Endometrial cancer: an overview of novelties in treatment and related imaging keypoints for local staging
- PMID: 30514387
- PMCID: PMC6280395
- DOI: 10.1186/s40644-018-0180-6
Endometrial cancer: an overview of novelties in treatment and related imaging keypoints for local staging
Abstract
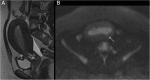
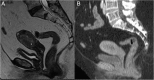
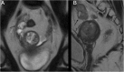
Endometrial cancer is the most common gynaecologic malignancy in developed countries and its incidence is increasing. First-level treatment, if no contraindicated, is based on surgery. Pre-operative imaging is needed for evaluation of local extent and detection of distant metastases in order to guide treatment planning. Radiological evaluation, based on transvaginal ultrasound, MR and CT, can make the difference in disease management, paying special attention to assessment of entity of myometrial invasion, cervical stromal extension, and assessment of lymph nodal involvement and distant metastases.
Keywords: Cervical invasion; DWI; Endometrial cancer; MR; Myometrial invasion; TVUS.
Conflict of interest statement
Ethics approval and consent to participate
Not applicable.
Consent for publication
Not applicable.
Competing interests
The authors declare that they have no competing interests.
Publisher’s Note
Springer Nature remains neutral with regard to jurisdictional claims in published maps and institutional affiliations.
Figures












