A rare presentation of a paediatric sinonasal inverted papilloma
- PMID: 30515294
- PMCID: PMC6267554
- DOI: 10.1093/jscr/rjy321
A rare presentation of a paediatric sinonasal inverted papilloma
Abstract
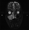
Sinonasal inverted papilloma (IP) is a benign tumour with an extremely low incidence in children. We report the case of an 11-year-old Caucasian male presenting with recurrent right-sided epistaxis, nasal obstruction and a mass in the right nasal cavity. An initial diagnosis of a nasopharyngeal angiofibroma was considered; however, on detailed histological examination, the mass was found to be an inverted papilloma. This report aims to increase awareness of IP in the paediatric age group, as well as reinforcing the role of endoscopic surgery in the management of this condition.
Figures



References
-
- Wakley T. A mirror of the practice of medicine and surgery in the hospitals of London. Lancet 1850;55:390–1.
-
- Kramer R, Som ML. True papilloma of the nasal cavity. Arch Otolaryngol 1935;22:22–43.
-
- Vrabec DP. The inverted Schneiderian papilloma: a 25‐year study. Laryngoscope 1994;104:582–605. - PubMed
-
- Phillips PP, Gustafson RO, Facer GW. The clinical behavior of inverting papilloma of the nose and paranasal sinuses: report of 112 cases and review of the literature. Laryngoscope 1990;100:463–9. - PubMed
-
- Syrjänen K, Syrjänen S. Detection of human papillomavirus in sinonasal papillomas: systematic review and meta‐analysis. Laryngoscope 2013;123:181–92. - PubMed
Publication types
LinkOut - more resources
Full Text Sources