Skip to main page content
U.S. flag

An official website of the United States government

Dot gov

The .gov means it’s official.
Federal government websites often end in .gov or .mil. Before sharing sensitive information, make sure you’re on a federal government site.

Https

The site is secure.
The https:// ensures that you are connecting to the official website and that any information you provide is encrypted and transmitted securely.

Access keys NCBI Homepage MyNCBI Homepage Main Content Main Navigation
Case Reports
. 2018 Dec;14(4):311-316.
doi: 10.1183/20734735.027418.

An uncommon histopathological diagnosis

Affiliations
Case Reports

An uncommon histopathological diagnosis

Hannelore Bode et al. Breathe (Sheff). 2018 Dec.

Abstract

Can you perform a robust histopathological diagnosis for this unusual case? http://ow.ly/40GB30mc5Th.

PubMed Disclaimer

Conflict of interest statement

Conflict of interest: H. Bode has nothing to disclose. Conflict of interest: R. Sciot has nothing to disclose. Conflict of interest: E. Werbrouck has nothing to disclose. Conflict of interest: E. Geusens has nothing to disclose. Conflict of interest: C.M. Deroose reports consultancy fees from Bayer, Sirtex, Novartis Pharma and Advanced Accelerator Applications (AAA), and advisory board fees from Ipsen, Novartis Pharma and Terumo, all outside the submitted work. Conflict of interest: K. Nackaerts has nothing to disclose.

Figures

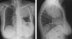
Figure 1
Figure 1
Chest radiograph.
Figure 2
Figure 2
a) CT scan and b, c) 18F-FDG PET.
Figure 3
Figure 3
Bronchoscopy.
Figure 4
Figure 4
Haematoxylin and eosin stain, showing a cellular tumour, some cells of which have hyperchromatic nuclei (yellow arrows). The white asterisks correspond to osteoclast-like giant cells; the blue ones indicate an area of necrosis.
Figure 5
Figure 5
Strong expression of desmin in the tumour cells.

References

    1. Qin BD, Jiao XD, Zang YS. Primary pulmonary leiomyosarcoma: a population-based study. Lung Cancer 2018; 116: 67–72. - PubMed
    1. Xie X, Chen Y, Ding C, et al. . Primary pulmonary leiomyosarcoma: a case report. Oncol Lett 2016; 11: 1807–1810. - PMC - PubMed
    1. Janssen JP, Mulder JJ, Wagenaar SS, et al. . Primary sarcoma of the lung: a clinical study with long-term follow-up. Ann Thorac Surg 1994; 58: 1151–1155. - PubMed
    1. Guccion JG, Rosen SH. Bronchopulmonary leiomyosarcoma and fibrosarcoma. A study of 32 cases and review of the literature. Cancer 1972; 30: 836–847. - PubMed
    1. Miller DL, Allen MS. Rare pulmonary neoplasms. Mayo Clin Proc 1993; 68: 492–498. - PubMed

Publication types

LinkOut - more resources