A patient with Wegener's granulomatosis in apparent remission presenting with complete atrioventricular block
- PMID: 30532841
- PMCID: PMC6265154
- DOI: 10.1016/j.jccase.2011.01.008
A patient with Wegener's granulomatosis in apparent remission presenting with complete atrioventricular block
Abstract
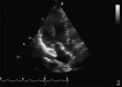
Wegener's granulomatosis is a systemic necrotizing granulomatous vasculitis of small- to medium-sized vessels typically affecting upper and lower airways, lungs, and kidneys. Cardiac involvement is less common and conducting tissue involvement is extremely rare. Cardiac manifestations are often not clinically apparent, but are associated with increased mortality. We report the case of a 36-year-old female with Wegener's thought to be in remission, presenting in complete atrioventricular (AV) block, with echocardiographic evidence of basal interatrial septum and basal lateral left atrial wall thickening. Despite immunosuppression therapy a permanent pacemaker was required for recurring complete AV block. Although rare, this case emphasizes the need for careful and regular screening for cardiac involvement in this multi-system condition.
Keywords: Cardiac involvement; Complete atrioventricular block; Multisystem disorder; Pacemaker; Wegener's granulomatosis.
Figures



References
-
- Forstot J.Z., Overlie P.A., Neufeld G.K., Harmon C.E., Forstot S.L. Cardiac complications of Wegener granulomatosis: a case report of complete heart block and review of the literature. Semin Arthritis Rheum. 1980;10:148–154. - PubMed
-
- Oliveira G.H., Seward J.B., Tsang T.S., Sprecks U. Echocardiographic findings in patients with Wegener granulomatosis. Mayo Clin Proc. 2005;80:1435–1440. - PubMed
-
- Longauer F., Takac M., Halasova K. On damage of the heart conduction system in Wegener's granulomatosis. Z Kreislaufforsch. 1969;58:412–421. - PubMed
-
- Ohkawa S., Miyao M., Chida K., Mizuuchi T., Kida K., Takubo K., Ohtsubo K. Extensive involvement of the myocardium and the cardiac conduction system in a case of Wegener's granulomatosis. Jpn Heart J. 1999;40:509–515. - PubMed
-
- Krulder J.W., Niermeijer P. Reversible atrioventricular block due to Wegener's granulomatosis. Neth J Med. 1985;28:28–31. - PubMed
LinkOut - more resources
Full Text Sources