A Rare Case of Pylephlebitis as a Complication of Cholecystocolonic Fistula
- PMID: 30533242
- PMCID: PMC6247711
- DOI: 10.1155/2018/3931674
A Rare Case of Pylephlebitis as a Complication of Cholecystocolonic Fistula
Abstract
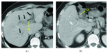
Pylephlebitis is defined as a septic thrombophlebitis of the portal vein and its tributaries that is associated with multiple suppurative abdominal infections. We report a case of pylephlebitis associated with a cholecystocolonic fistula (CCF). A 41-year-old man presented with upper abdominal pain and anorexia for 1 month. Abdominal contrast-enhanced computed tomography (CT) revealed thrombosis in the left and anterior branch of the portal vein and thickening of the walls of the portal vein and periside portals. The gallbladder was collapsed and pneumobilia was seen in the biliary tract. Blood culture was positive for Streptococcus anginosus. A diagnosis of thrombophlebitis of the portal vein associated with CCF was made, and the patient was immediately managed with an intravenous broad-spectrum antibiotic and anticoagulation. After the portal vein thrombosis (PVT) propagation and inflammation had subsided, cholecystectomy and partial resection of the transverse colon were performed. Pylephlebitis is rare but is a life-threatening complication of intra-abdominal infection. A high index of suspicion is required, and a CT scan should be performed immediately for an early diagnosis and appropriate treatment.
Figures




References
Publication types
LinkOut - more resources
Full Text Sources