Host Variability in NTM Disease: Implications for Research Needs
- PMID: 30559727
- PMCID: PMC6286975
- DOI: 10.3389/fmicb.2018.02901
Host Variability in NTM Disease: Implications for Research Needs
Abstract
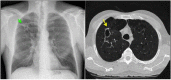
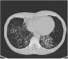
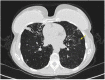
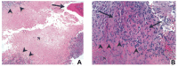
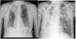
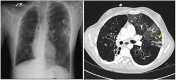
Non-tuberculous mycobacteria (NTM) are ubiquitous environmental organisms that may cause opportunistic infections in susceptible hosts. Lung infections in immunocompetent persons with structural lung disease are most common, while disseminated disease occurs primarily in immunocompromised individuals. Human disease caused by certain species, such as Mycobacterium avium complex, Mycobacterium abscessus, and Mycobacterium kansasii, is increasing in incidence and varies by geographic distribution. The spectrum of NTM disease varies widely in presentation and clinical outcome, but certain patterns can be organized into clinical phenotypes. Treatment options are limited, lengthy, and often toxic. The purpose of this case-based review is to provide non-clinician scientists with a better understanding of human NTM disease with an aim to stimulate more research and development.
Keywords: COPD; bronchiectasis; cystic fibrosis; disseminated; non-tuberculous mycobacteria; osteomyelitis; pulmonary.
Figures
References
Publication types
LinkOut - more resources
Full Text Sources
Other Literature Sources
