Small Bowel Carcinomas Associated with Immune-Mediated Intestinal Disorders: The Current Knowledge
- PMID: 30597986
- PMCID: PMC6356995
- DOI: 10.3390/cancers11010031
Small Bowel Carcinomas Associated with Immune-Mediated Intestinal Disorders: The Current Knowledge
Abstract
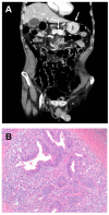
Small bowel carcinomas (SBC) are uncommon neoplasms, whose predisposing conditions include hereditary syndromes and immune-mediated intestinal disorders including coeliac disease (CD) and Crohn's disease (CrD). Although both CD-associated SBC (CD-SBC) and CrD-associated SBC (CrD-SBC) arise from an inflammatory background, they differ substantially in tumour cell phenotype, frequency of microsatellite instability and nuclear β-catenin expression, as well as in prognosis. For these patients, high tumour-infiltrating lymphocyte density and glandular/medullary histotype represent independent positive prognostic factors. Dysplasia adjacent to SBC is rare and characterized by intestinal phenotype and nuclear β-catenin in CD, while it is frequent and typified by gastro-pancreatobiliary marker expression and preserved membranous β-catenin in CrD. Recent evidence suggests that Epstein-Barr virus-positive dysplasia and SBC, albeit exceptional, do exist and are associated with CrD. In this review, we summarize the novel pathological and molecular insights of clinical and therapeutic interest to guide the care of CD-SBC and CrD-SBC.
Keywords: Crohn’s disease; coeliac disease; dysplasia; histotype; overall survival; tumour-infiltrating lymphocyte.
Conflict of interest statement
The authors declare no conflict of interest.
Figures
 
              
              
              
              
                
                
                 
              
              
              
              
                
                
                References
- 
    - Vanoli A., Di Sabatino A., Furlan D., Klersy C., Grillo F., Fiocca R., Mescoli C., Rugge M., Nesi G., Fociani P., et al. Small Bowel Carcinomas in Coeliac or Crohn’s Disease: Clinico-pathological, Molecular, and Prognostic Features. A Study from the Small Bowel Cancer Italian Consortium. J. Crohns Colitis. 2017;11:942–953. doi: 10.1093/ecco-jcc/jjx031. - DOI - PubMed
 
- 
    - Potter D.D., Murray J.A., Donohue J.H., Burgart L.J., Nagorney D.M., van Heerden J.A., Plevak M.F., Zinsmeister A.R., Thibodeau S.N. The role of defective mismatch repair in small bowel adenocarcinoma in celiac disease. Cancer Res. 2004;64:7073–7077. doi: 10.1158/0008-5472.CAN-04-1096. - DOI - PubMed
 
Publication types
Grants and funding
LinkOut - more resources
- Full Text Sources
 
        