Pituitary Pathology and Gene Expression in Acromegalic Cats
- PMID: 30620005
- PMCID: PMC6316999
- DOI: 10.1210/js.2018-00226
Pituitary Pathology and Gene Expression in Acromegalic Cats
Abstract
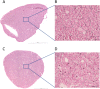
The prevalence of GH-secreting pituitary tumors in domestic cats (Felis catus) is 10-fold greater than in humans. The predominant inhibitory receptors of GH-secreting pituitary tumors are somatostatin receptors (SSTRs) and D2 dopamine receptor (DRD2). The expression of these receptors is associated with the response to somatostatin analog and dopamine agonist treatment in human patients with acromegaly. The aim of this study was to describe pathological features of pituitaries from domestic cats with acromegaly, pituitary receptor expression, and investigate correlates with clinical data, including pituitary volume, time since diagnosis of diabetes, insulin requirement, and serum IGF1 concentration. Loss of reticulin structure was identified in 15 of 21 pituitaries, of which 10 of 15 exhibited acinar hyperplasia. SSTR1, SSTR2, SSTR5, and DRD2 mRNA were identified in the feline pituitary whereas SSTR3 and SSTR4 were not. Expression of SSTR1, SSTR2, and SSTR5 was greater in acromegalic cats compared with controls. A negative correlation was identified between DRD2 mRNA expression and pituitary volume. The loss of DRD2 expression should be investigated as a mechanism allowing the development of larger pituitary tumors.
Keywords: acromegaly; cat; dopamine receptor; hypersomatotropism; somatostatin.
Figures






References
-
- Scacchi M, Cavagnini F. Acromegaly. Pituitary. 2006;9(4):297–303. - PubMed
-
- Giustina A, Chanson P, Kleinberg D, Bronstein MD, Clemmons DR, Klibanski A, van der Lely AJ, Strasburger CJ, Lamberts SW, Ho KK, Casanueva FF, Melmed S; Acromegaly Consensus Group . Expert consensus document: a consensus on the medical treatment of acromegaly. Nat Rev Endocrinol. 2014;10(4):243–248. - PubMed
-
- Katznelson L, Laws ER Jr, Melmed S, Molitch ME, Murad MH, Utz A, Wass JA; Endocrine Society . Acromegaly: an endocrine society clinical practice guideline. J Clin Endocrinol Metab. 2014;99(11):3933–3951. - PubMed
-
- Colao A, Bronstein MD, Freda P, Gu F, Shen CC, Gadelha M, Fleseriu M, van der Lely AJ, Farrall AJ, Hermosillo Reséndiz K, Ruffin M, Chen Y, Sheppard M; Pasireotide C2305 Study Group . Pasireotide versus octreotide in acromegaly: a head-to-head superiority study. J Clin Endocrinol Metab. 2014;99(3):791–799. - PMC - PubMed
-
- Colao A, Auriemma RS, Lombardi G, Pivonello R. Resistance to somatostatin analogs in acromegaly. Endocr Rev. 2011;32(2):247–271. - PubMed
LinkOut - more resources
Full Text Sources
Miscellaneous