Intracranial Hemorrhaging Following Cardiobacterium hominis Endocarditis
- PMID: 30626838
- PMCID: PMC6543231
- DOI: 10.2169/internalmedicine.2111-18
Intracranial Hemorrhaging Following Cardiobacterium hominis Endocarditis
Abstract
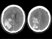
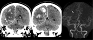
Acute infectious endocarditis (IE) is a complex disease that presents as a serious clinical condition associated with a high mortality rate, especially due to intracranial hemorrhaging (ICH). The most common causative organism is Staphylococcus aureus. We herein report a patient with ICH following subacute IE with a positive blood culture for Cardiobacterium hominis. A review of the existing literature revealed that acute IE associated with Cardiobacterium has been reported to cause ICH in only seven previous cases. Prolonged culture-specific antibiotic therapy along with extended surveillance of blood culture is therefore essential for timely intervention.
Keywords: HACEK; blood culture; infectious endocarditis; stroke; valvular disease.
Conflict of interest statement
Figures
Comment in
-
Rapid Progression of Cardiobacterium Endocarditis.Intern Med. 2020 Jan 1;59(1):149. doi: 10.2169/internalmedicine.3077-19. Epub 2019 Sep 3. Intern Med. 2020. PMID: 31484906 Free PMC article. No abstract available.
-
The Authors' Reply to "Rapid Progression of Cardiobacterium Endocarditis".Intern Med. 2020 Jan 1;59(1):151. doi: 10.2169/internalmedicine.3532-19. Epub 2019 Sep 3. Intern Med. 2020. PMID: 31484911 Free PMC article. No abstract available.
References
-
- Baddour LM, Wilson WR, Bayer AS, et al. Infective endocarditis in adults: diagnosis, antimicrobial therapy, and management of complications: a scientific statement for healthcare professionals from the American Heart Association. Circulation 132: 1435-1486, 2015. - PubMed
-
- Li JS, Sexton DJ, Mick N, et al. Proposed modifications to the Duke criteria for the diagnosis of infective endocarditis. Clin Infect Dis 30: 633-638, 2000. - PubMed
-
- Wormser GP, Bottone EJ, Tudy J, Hirchman SZ. Case report. Cardiobacterium hominis: review of prior infections and report of endocarditis on a fascia lata prosthetic heart valve. Am J Med Sci 276: 117-126, 1978. - PubMed
-
- Chentanez T, Khawcharoenporn T, Chokrungvaranon N, Joyner J. Cardiobacterium hominis endocarditis presenting as acute embolic stroke: a case report and review of the literature. Heart Lung 40: 262-269, 2011. - PubMed
