Anti-Epileptic Medication-Induced Asymptomatic Eosinophilic Colitis
- PMID: 30627270
- PMCID: PMC6306115
- DOI: 10.14740/gr1000w
Anti-Epileptic Medication-Induced Asymptomatic Eosinophilic Colitis
Conflict of interest statement
The authors of the above manuscript have no conflicts of interest.
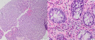
Figures


References
LinkOut - more resources
Full Text Sources