Angiogenic desmoplastic histopathological growth pattern as a prognostic marker of good outcome in patients with colorectal liver metastases
- PMID: 30637550
- PMCID: PMC6475515
- DOI: 10.1007/s10456-019-09661-5
Angiogenic desmoplastic histopathological growth pattern as a prognostic marker of good outcome in patients with colorectal liver metastases
Abstract
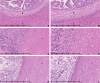
Background: In patients with resectable colorectal liver metastases (CRLM), distinct histopathological growth patterns (HGPs) develop at the interface between the tumour and surrounding tissue. The desmoplastic (d) HGP is characterised by angiogenesis and a peripheral fibrotic rim, whereas non-angiogenic HGPs co-opt endogenous sinusoidal hepatic vasculature. Evidence from previous studies has suggested that patients with dHGP in their CRLM have improved prognosis as compared to patients with non-desmoplastic HGPs. However, these studies were relatively small and applied arbitrary cut-off values for the determination of the predominant HGP. We have now investigated the prognostic effect of dHGP in a large cohort of patients with CRLM resected either with or without neoadjuvant chemotherapy.
Methods: All consecutive patients undergoing a first partial hepatectomy for CRLM between 2000 and 2015 at a tertiary referral centre were considered for inclusion. HGPs were assessed in archival H&E stained slides according to recently published international consensus guidelines. The dHGP was defined as desmoplastic growth being present in 100% of the interface between the tumour and surrounding liver.
Results: In total, HGPs in CRLMs from 732 patients were assessed. In the chemo-naive patient cohort (n = 367), the dHGP was present in 19% (n = 68) and the non-dHGP was present in 81% (n = 299) of patients. This dHGP subgroup was independently associated with good overall survival (OS) (HR: 0.39, p < 0.001) and progression-free survival (PFS) (HR: 0.54, p = 0.001). All patients with any CRLM with a non-dHGP had significantly reduced OS compared to those patients with 100% dHGP, regardless of the proportion of non-dHGP (all p values ≤ 0.001). In the neoadjuvantly treated patient cohort (n = 365), more patients were found to express dHGP (n = 109, 30%) (adjusted odds ratio: 2.71, p < 0.001). On univariable analysis, dHGP was associated with better OS (HR 0.66, p = 0.009) and PFS (HR 0.67, p = 0.002). However, after correction for confounding by means of multivariable analysis no significant association of dHGP with OS (HR 0.92, p = 0.623) or PFS (HR 0.76, p = 0.065) was seen.
Conclusions: The current study demonstrates that the angiogenic dHGP in CRLM resected from chemo-naive patients acts as a strong, positive prognostic marker, unmatched by any other prognosticator. This observation warrants the evaluation of the clinical utility of HGPs in prospective clinical trials.
Keywords: Colorectal cancer; Histopathological growth pattern; Liver metastases; Prognostic factor; Vessel co-option.
Conflict of interest statement
Conflict of interest
The authors declare that they have no conflict of interest.
Ethical approval
All procedures performed in studies involving human participants were in accordance with the ethical standards of the institutional and/or national research committee and with the 1964 Helsinki declaration and its later amendments or comparable ethical standards.
Figures
References
-
- van Dam PJ, van der Stok EP, Teuwen LA, Van den Eynden GG, Illemann M, Frentzas S, Majeed AW, Eefsen RL, van den CoeberghBraak RRJ, Lazaris A, Fernandez MC, Galjart B, Laerum OD, Rayes R, Grunhagen DJ, Van de Paer M, Sucaet Y, Mudhar HS, Schvimer M, Nystrom H, Kockx M, Bird NC, Vidal-Vanaclocha F, Metrakos P, Simoneau E, Verhoef C, Dirix LY, Van Laere S, Gao ZH, Brodt P, Reynolds AR, Vermeulen PB. International consensus guidelines for scoring the histopathological growth patterns of liver metastasis. Br J Cancer. 2017;117(10):1427–1441. doi: 10.1038/bjc.2017.334. - DOI - PMC - PubMed
-
- Stessels F, Van den Eynden G, Van der Auwera I, Salgado R, Van den Heuvel E, Harris AL, Jackson DG, Colpaert CG, van Marck EA, Dirix LY, Vermeulen PB. Breast adenocarcinoma liver metastases, in contrast to colorectal cancer liver metastases, display a non-angiogenic growth pattern that preserves the stroma and lacks hypoxia. Br J Cancer. 2004;90(7):1429–1436. doi: 10.1038/sj.bjc.6601727. - DOI - PMC - PubMed
-
- Frentzas S, Simoneau E, Bridgeman VL, Vermeulen PB, Foo S, Kostaras E, Nathan MR, Wotherspoon A, Gao ZH, Shi Y, Van den Eynden G, Daley F, Peckitt C, Tan X, Salman A, Lazaris A, Gazinska P, Berg TJ, Eltahir Z, Ritsma L, van Rheenen J, Khashper A, Brown G, Nystrom H, Sund M, Van Laere S, Loyer E, Dirix L, Cunningham D, Metrakos P, Reynolds AR. Vessel co-option mediates resistance to anti-angiogenic therapy in liver metastases. Nat Med. 2016;22(11):1294–1302. doi: 10.1038/nm.4197. - DOI - PMC - PubMed
MeSH terms
Substances
LinkOut - more resources
Full Text Sources
Medical
