Atypical central neurocytoma with novel EWSR1-ATF1 fusion and MUTYH mutation detected by next-generation sequencing
- PMID: 30642852
- PMCID: PMC6340561
- DOI: 10.1136/bcr-2018-226455
Atypical central neurocytoma with novel EWSR1-ATF1 fusion and MUTYH mutation detected by next-generation sequencing
Abstract
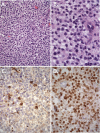
We present the case of a 13-year-old boy with a very unusual periventricular atypical central neurocytoma with unique molecular features treated with subtotal surgical resection and photon intensity-modulated radiotherapy. Histological features were most consistent with atypical central neurocytoma. However, next-generation sequencing analysis revealed a novel EWSR1-ATF1 gene fusion (EWSR1-ATF1) as well as a MUTYH mutation. The EWSR1-ATF1 raised the possibility of Ewing sarcoma or angiomatoid fibrous histiocytoma, however, FLI-1 immunohistochemistry was negative. MUTYH mutations have been reported in diffuse midline paediatric glioma. The role of EWSR1-ATF1 and MUTYH mutations in central nervous system tumours is not well established. We present the first case of EWSR1-ATF1 and MUTYH mutation in a rare paediatric atypical central neurocytoma. Further studies are indicated to elucidate the consequences of these gene alterations in the context of paediatric central nervous system tumours as well as to investigate the potential role for targeted therapies.
Keywords: cns cancer; neuroimaging; neurooncology; paediatric oncology.
© BMJ Publishing Group Limited 2019. No commercial re-use. See rights and permissions. Published by BMJ.
Conflict of interest statement
Competing interests: None declared.
Figures


References
Publication types
MeSH terms
Substances
Supplementary concepts
LinkOut - more resources
Full Text Sources
Research Materials