Production and purification of IgY antibodies from chicken egg yolk
- PMID: 30647711
- PMCID: PMC6296578
- DOI: 10.1016/j.jgeb.2017.10.003
Production and purification of IgY antibodies from chicken egg yolk
Abstract
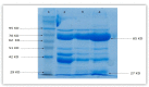
The isolation of polyclonal antibodies from the serum of immunized mammals has significantly contributed to scientific research and diagnosis. The fact that recent technologies allow the production of antibodies in the yolk of eggs laid by hens, has led to the development of an alternative method for antibody generation that is less stressful to animals. As hens are kept under almost all their natural conditions, antibodies are isolated from the collected eggs; this technology is expected to become an interesting alternative to the conventionally serum-based techniques that eventually require to sacrifice the animal. Here we present a modified protocol for the isolation of IgY antibodies from immunized chickens and provide comparison between two chicken breeds in relative to IgY yield per egg. Our results show the possibility of generating large quantities of highly pure IgY from chicken eggs and also show large differences in the yield of IgY production between the two studied breeds. The results of this work indicate that IgY technology can be used for the production of primary antibodies for immunological work and disease diagnosis.
Keywords: Chicken egg yolk; Gel filtration chromatography; IgY; Salmonella typhimurium.
Figures




References
-
- Schade R., Calzado E.G., Sarmiento R., Chacana P.A., Porankiewicz-Asplund J., Terzolo H.R. Chicken egg yolk antibodies (IgY-technology): a review of progress in production and use in research and human and veterinary medicine. Altern Lab Anim. 2005;33(2):129–154. - PubMed
-
- Chalghoumi R, Beckers Y, Portetelle D, Théwis A. Focus on: hen egg yolk antibodies (IgY), production and use for passive immunization against bacterial enteric infections in chicken: a review. Biotechnol Agron Soc Environ 2009;13(2):295.
-
- Raj G.D., Latha B., Chandrasekhar M.S., Thiagarajan V. Production, characterization and application of monoclonal antibodies against chicken IgY. VeterinarskiArhiv. 2004;74(3):189–199.
-
- Schade R, Terzolo HR. IgY-technology: application and trends. In: EPC 2006-12th European poultry conference, Verona, Italy, 10–14 September, 2006. World's Poultry Science Association (WPSA); 2006.
-
- Larsson A., Karlsson-Parra A., Sjöquist J. Use of chicken antibodies in enzyme immunoassays to avoid interference by rheumatoid factors. Clin Chem. 1991;37(3):411–414. - PubMed
LinkOut - more resources
Full Text Sources
Other Literature Sources
Research Materials