Skip to main page content
U.S. flag

An official website of the United States government

Dot gov

The .gov means it’s official.
Federal government websites often end in .gov or .mil. Before sharing sensitive information, make sure you’re on a federal government site.

Https

The site is secure.
The https:// ensures that you are connecting to the official website and that any information you provide is encrypted and transmitted securely.

Access keys NCBI Homepage MyNCBI Homepage Main Content Main Navigation
Case Reports
. 2018 Oct 22;10(10):e3473.
doi: 10.7759/cureus.3473.

Solitary Fibrous Tumor of Pleura Invading into the Left Atrium via Pulmonary Vein

Affiliations
Case Reports

Solitary Fibrous Tumor of Pleura Invading into the Left Atrium via Pulmonary Vein

Arsalan Talib Hashmi et al. Cureus. .

Abstract

A 67-year-old woman came to the hospital because of difficulty in breathing. After an initial clinical assessment, contrast-enhanced computerized tomography (CT) of the chest revealed a well-circumscribed heterogeneous mass arising from the pleura adjacent to the superior and medial left pulmonary artery. The mass was invading the pulmonary vein and entering the left atrium. Histopathology of the biopsy of the mass was suggestive of solitary fibrous tumor (SFT) of the pleura. The patient underwent pneumonectomy and resection of the left atrial mass with pericardial patch repair of the left atrium.

Keywords: hemangiopericytoma; mesenchymal tumor; solitary fibrous tumor.

PubMed Disclaimer

Conflict of interest statement

The authors have declared that no competing interests exist.

Figures

Figure 1
Figure 1. Chest X-ray showing round mass-like opacity in left suprahilar region
Figure 2
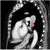
Figure 2. Heterogeneous mass arising from the pleura adjacent to the superior and medial left pulmonary artery
Figure 3
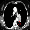
Figure 3. Invasion of the left inferior pulmonary vein with extension into the left atrium
Figure 4
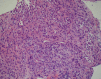
Figure 4. Light microscopy of the biopsied specimen showing spindle and epithelioid cell neoplasm

References

    1. Solitary fibrous tumors and so-called hemangiopericytoma. Penel N, Amela EY, Decanter G, Robin YM, Marec-Berard P. Sarcoma. 2012;2012:0. - PMC - PubMed
    1. Primary neoplasms of the pleura. A report of five cases. Klemperer P, Coleman BR. Am J Ind Med. 1992;22:1–31. - PubMed
    1. Solitary fibrous tumors of the pleura. de Perrot M, Fischer S, Bründler MA, Sekine Y, Keshavjee S. Ann Thorac Surg. 2002;1:285–293. - PubMed
    1. Solitary fibrous tumor of the pleura. Robinson LA. Cancer Control. 2006;13:264–269. - PubMed
    1. Solitary fibrous tumors of the pleura: results of surgical treatment and long-term prognosis. Harrison-Phipps KM, Nichols FC, Schleck CD, et al. J Thorac Cardiovasc Surg. 2009;138:19–25. - PMC - PubMed

Publication types

LinkOut - more resources