"Mixed" trauma to the carotid artery in a mixed martial arts injury - A case report and review of the literature
- PMID: 30651908
- PMCID: PMC6310208
- DOI: 10.3941/jrcr.v12i5.3234
"Mixed" trauma to the carotid artery in a mixed martial arts injury - A case report and review of the literature
Abstract
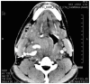
We present the case of a mixed martial arts (MMA) cage fighter who presented to the emergency department with a right sided common carotid artery pseudoaneurysm as a result of a neck trauma at an MMA event. We discuss the management of blunt force neck trauma, differential diagnosis, imaging findings and review the literature on blunt cerebrovascular injury following blunt force injury to the neck.
Keywords: Blunt cerebrovascular trauma; Carotid arterial injury; pseudoaneurysm; thyroid horn fracture; trauma.
Figures
References
-
- Welling R, Kakkasseril J, Peschiera J. Management of blunt injury to the internal carotid artery. J Trauma. 1987;27:1221–6. - PubMed
-
- Schneidereit NP, Simons R, Nicolaou S, et al. Utility of screening for blunt vascular neck injuries with computed tomographic angiography. J Trauma. 2006;60(1):209–15. 5. - PubMed
-
- Sliker CW. Blunt cerebrovascular injuries: imaging with multidetector CT angiography. Radiographics. 2008;28(6):1689–708. - PubMed
-
- Fox C, Gillespie D, Weber M, et al. Delayed evaluation of combat related penetrating neck trauma. J Vasc Surg. 2006;44:86–92. - PubMed
-
- Garg Karan, et al. Presentation and management of carotid artery aneurysms and pseudo aneurysms. J Vasc Surg. 2012;55(6):1618–1622. - PubMed
Publication types
MeSH terms
LinkOut - more resources
Full Text Sources
