Transmigration and spontaneous passage of a gossypiboma documented on contrast study
- PMID: 30655970
- PMCID: PMC6329201
- DOI: 10.1016/j.amsu.2018.10.022
Transmigration and spontaneous passage of a gossypiboma documented on contrast study
Abstract
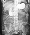
Gossypiboma or textiloma is a rare but very unfortunate complication of surgery. It refers to a retained foreign body usually forgotten within the abdominal cavity at the end of an operation. It may be a surgical sponge, gauze pad or other form of textile. We present the case of a middle aged lady who following cholecystectomy had a forgotten gauze which underwent transmural migration and was later expelled via the rectum demonstrated by radiological studies.
Figures
References
-
- Soares F.V., Vicentini L., Dell'Aringa A.R., e Silva L.C. Textiloma in abdominal cavity: 35 years later. Arq. Bras. Cir. Dig. 2013;26;(1):74–75. - PubMed
-
- Rajagopal A., Martin J. Gossypiboma--"a surgeon's legacy": report of a case and review of the literature. Dis. Colon Rectum. 2002;45:119–120. - PubMed
-
- BaniHani K.E., Gharaibeh K.A., Yaghan R.J. Retained surgical sponges. Asian J. Surg. 2005;28;(2):109–115. - PubMed
-
- Van Goethem J.W., Parizel P.M., Perdieius D. MR and CT imaging of paraspinal textiloma gossypiboma) J. Comput. Assist. Tomogr. 1991;15:1000–1003. - PubMed
-
- Yidirim S., Tarim A., Nursal T.Z. Retained surgical sponge after intraabdominal or retroperitoneal surgery: 14 cases treated at a single center. Langenbeck's Arch. Surg. 2006;391(4):390–395. - PubMed
Publication types
LinkOut - more resources
Full Text Sources
