Basal cell carcinoma of the prostate: A case report and review of the literature
- PMID: 30655983
- PMCID: PMC6313957
- DOI: 10.3892/mco.2018.1754
Basal cell carcinoma of the prostate: A case report and review of the literature
Abstract
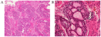
Basal cell carcinoma (BCC) of the prostate is a rare tumor exhibiting various morphological characteristics, and its progression varies from an indolent to an aggressive type, with local recurrence or distant metastasis. We herein report the case of a patient who was diagnosed with early-stage BCC of the prostate and treated by surgery. A 68 year-old-man visited our hospital for a follow-up for bladder cancer. In August 2017, his serum prostate-specific-antigen (PSA) level was measured to be 5.61 ng/ml and prostate biopsy was performed. Histological examination revealed BCC of the prostate, with immunostaining examination of tumor cells showing positive results for p63 but negative results for PSA. Imaging examination showed no metastasis. Retropubic radical prostatectomy with extended lymph node dissection was performed. Pathological examination of the surgical specimen revealed coexistence of a predominant basaloid component and an adenoid cystic-like tumor with cribriform appearance. There was no extracapsular infiltration or lymph node metastasis. The patient remained alive and recurrence-free after 1 year of follow-up.
Keywords: basal cell carcinoma of the prostate; radical prostatectomy.
Figures
 
              
              
              
              
                
                
                 
              
              
              
              
                
                
                 
              
              
              
              
                
                
                References
- 
    - McKenney JK, Amin MB, Srigley JR, Jimenez RE, Ro JY, Grignon DJ, Young RH. Basal cell proliferations of the prostate other than usual basal cell hyperplasia: A clinicopathologic study of 23 cases, including four carcinomas, with a proposed classification. Am J Surg Pathol. 2004;28:1289–1298. doi: 10.1097/01.pas.0000138180.95581.e1. - DOI - PubMed
 
- 
    - Begnami MD, Quezado M, Pinto P, Linehan WM, Merino M. Adenoid cystic/basal cell carcinoma of the prostate: Review and update. Arch Pathol Lab Med. 2007;131:637–640. - PubMed
 
LinkOut - more resources
- Full Text Sources
- Research Materials
- Miscellaneous
