Needle track seeding in hepatocellular carcinoma after local ablation by high-dose-rate brachytherapy: a retrospective study of 588 catheter placements
- PMID: 30662474
- PMCID: PMC6335555
- DOI: 10.5114/jcb.2018.80626
Needle track seeding in hepatocellular carcinoma after local ablation by high-dose-rate brachytherapy: a retrospective study of 588 catheter placements
Abstract
Purpose: Needle track seeding in the local treatment of hepatocellular carcinoma (HCC) is not yet evaluated for catheter-based high-dose-rate brachytherapy (HDR-BT), a novel local ablative technique.
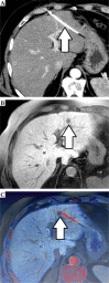
Material and methods: We report a retrospective analysis of 100 patients treated on 233 HCC lesions by HDR-BT (using 588 catheters in total). No needle or catheter track irradiation was used. Minimum required follow-up with imaging was 6 months. In case of suspected needle track seeding (intra- and/or extrahepatic) in follow-up, image fusion of follow-up CT/MRI with 3D irradiation plan was used to verify the location of a new tumor deposit within the path of a brachytherapy catheter at the time of treatment.
Results: We identified 9 needle track metastases, corresponding to a catheter-based risk of 1.5% for any location of occurrence. A total of 7 metastases were located within the liver (catheter-based risk, 1.2%), and 2 metastases were located extrahepatic (catheter-based risk, 0.3%). Eight out of 9 needle track metastases were successfully treated by further HDR-BT.
Conclusions: The risk for needle track seeding after interstitial HDR-BT of HCC is comparable to previous reports of percutaneous biopsies and radiofrequency ablation (RFA), especially in case of extrahepatic needle track metastases. To compensate for the risk of seeding, a track irradiation technique similar to track ablation in RFA should be implemented in clinical routine.
Keywords: hepatocellular carcinoma; local ablative treatment; needle track seeding.
Figures

References
-
- Schütte K, Kipper M, Kahl S, et al. Clinical characteristics and time trends in etiology of hepatocellular cancer in Germany. Digestion. 2013;87:147–159. - PubMed
-
- Tanaka M, Ando E, Simose S, et al. Radiofrequency ablation combined with transarterial chemoembolization for intermediate hepatocellular carcinoma. Hepatol Res. 2014;44:194–200. - PubMed
LinkOut - more resources
Full Text Sources