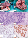
Leiomyomatosis peritonealis disseminata in a nonpregnant woman
- PMID: 30693147
- PMCID: PMC6334240
- DOI: 10.4274/tjod.06881
Leiomyomatosis peritonealis disseminata in a nonpregnant woman
Keywords: abdominal mass; leiomyomatosis peritonealis disseminata; Nulligravida.
Conflict of interest statement
Conflict of Interest: No conflict of interest was declared by the authors.
Figures

References
-
- Al-Talib A, Tulandi T. Pathophysiology and Possible Iatrogenic Cause of Leiomyomatosis Peritonealis Disseminata. Gynecol Obstet Invest. 2010;69:239–44. - PubMed
-
- Nucci MR, Quade BJ. Uterine Mesenchymal Tumors. In: Crum CP, Nucci MR, Lee KR, editors. Diagnostic gynecologic and obstetric pathology. Philadelphia: Elsevier Saunders. 2011:621–22.
LinkOut - more resources
Full Text Sources