Takotsubo cardiomyopathy triggered by status epilepticus: case report and literature review
- PMID: 30700451
- PMCID: PMC6352843
- DOI: 10.1136/bcr-2018-225924
Takotsubo cardiomyopathy triggered by status epilepticus: case report and literature review
Abstract
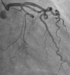
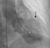
Takotsubo cardiomyopathy (TC) is acute stress-induced cardiomyopathy with characteristic transient wall motion abnormalities. TC has a clinical presentation similar to an acute coronary syndrome, including chest pain or dyspnoea, ECG changes and elevated cardiac enzymes. TC often occurs after emotional stress. There are approximately 50 TC cases reported related to seizure activity, and our review revealed 15 articles which were associated with status epilepticus. This condition can be a serious complication of seizures. We report a case of TC after status epilepticus in a patient who had been seizure-free for 20 years.
Keywords: cardiovascular medicine; clinical diagnostic tests; epilepsy and seizures.
© BMJ Publishing Group Limited 2019. No commercial re-use. See rights and permissions. Published by BMJ.
Conflict of interest statement
Competing interests: None declared.
Figures




References
-
- Dote K, Sato H, Tateishi H, et al. . [Myocardial stunning due to simultaneous multivessel coronary spasms: a review of 5 cases]. J Cardiol 1991;21:203–14. - PubMed
-
- Zissimopoulou S, Giannelli S, Schindler T, et al. . Takotsubo cardiomyopathy associated with seizures in asymptomatic geriatric patient. Eur Geriatr Med 2010;1:99–100. 10.1016/j.eurger.2010.02.004 - DOI
Publication types
MeSH terms
Substances
LinkOut - more resources
Full Text Sources