Intravascular papillary endothelial hyperplasia (Masson's hemangioma) of the face
- PMID: 30703866
- PMCID: PMC6505432
- DOI: 10.7181/acfs.2018.02208
Intravascular papillary endothelial hyperplasia (Masson's hemangioma) of the face
Abstract
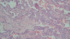
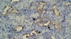
Intravascular papillary endothelial hyperplasia or Masson's hemangioma is a rare vascular tumor. The reactive proliferation of endothelial cells in this disease mimics other benign or malignant vascular proliferation such as angiosarcoma or Kaposi's sarcoma. It is important to make an accurate distinction to avoid confusion with these malignant tumors. This would facilitate a proper diagnosis, which is essential so that the patient is not subjected to unnecessarily aggressive or inappropriate treatment.
Keywords: Benign tumor; Intravascular papillary endothelial hyperplasia; Masson’s hemangioma.
Conflict of interest statement
No potential conflict of interest relevant to this article was reported.
Figures
References
-
- Makos CP, Nikolaidou AJ. Intravascular papillary endothelial hyperplasia (Masson’s tumor) of the oral mucosa: presentation of two cases and review. Oral Oncol Extra. 2004;40:59–62.
-
- Pins MR, Rosenthal DI, Springfield DS, Rosenberg AE. Florid extravascular papillary endothelial hyperplasia (Masson’s pseudoangiosarcoma) presenting as a soft-tissue sarcoma. Arch Pathol Lab Med. 1993;117:259–63. - PubMed
LinkOut - more resources
Full Text Sources
