Hepatocellular carcinoma in non-cirrhotic liver: A comprehensive review
- PMID: 30705715
- PMCID: PMC6354117
- DOI: 10.4254/wjh.v11.i1.1
Hepatocellular carcinoma in non-cirrhotic liver: A comprehensive review
Abstract
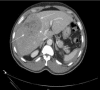
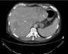
Hepatocellular carcinoma (HCC) is the most common type of primary liver cancer, which in turns accounts for the sixth most common cancer worldwide. Despite being the 6th most common cancer it is the second leading cause of cancer related deaths. HCC typically arises in the background of cirrhosis, however, about 20% of cases can develop in a non-cirrhotic liver. This particular subgroup of HCC generally presents at an advanced stage as surveillance is not performed in a non-cirrhotic liver. HCC in non-cirrhotic patients is clinically silent in its early stages because of lack of symptoms and surveillance imaging; and higher hepatic reserve in this population. Interestingly, F3 fibrosis in non-alcoholic fatty liver disease, hepatitis B virus and hepatitis C virus infections are associated with high risk of developing HCC. Even though considerable progress has been made in the management of this entity, there is a dire need for implementation of surveillance strategies in the patient population at risk, to decrease the disease burden at presentation and improve the prognosis of these patients. This comprehensive review details the epidemiology, risk factors, clinical features, diagnosis and management of HCC in non-cirrhotic patients and provides future directions for research.
Keywords: Clinical features; Diagnostic modalities; Future directions; Hepatitis B; Hepatitis C; Hepatocellular carcinoma; Management strategies; Non-cirrhotic liver; Risk factors.
Conflict of interest statement
Conflict-of-interest statement: No potential conflicts of interest.
Figures




References
-
- Parkin DM, Bray F, Ferlay J, Pisani P. Global cancer statistics, 2002. CA Cancer J Clin. 2005;55:74–108. - PubMed
-
- Ferlay J, Soerjomataram I, Dikshit R, Eser S, Mathers C, Rebelo M, Parkin DM, Forman D, Bray F. Cancer incidence and mortality worldwide: sources, methods and major patterns in GLOBOCAN 2012. Int J Cancer. 2015;136:E359–E386. - PubMed
-
- Trevisani F, Frigerio M, Santi V, Grignaschi A, Bernardi M. Hepatocellular carcinoma in non-cirrhotic liver: a reappraisal. Dig Liver Dis. 2010;42:341–347. - PubMed
-
- Lee DH, Lee JM. Primary malignant tumours in the non-cirrhotic liver. Eur J Radiol. 2017;95:349–361. - PubMed
Publication types
LinkOut - more resources
Full Text Sources
Medical
Miscellaneous