ROS1-GOPC/FIG: a novel gene fusion in hepatic angiosarcoma
- PMID: 30719217
- PMCID: PMC6349438
- DOI: 10.18632/oncotarget.26521
ROS1-GOPC/FIG: a novel gene fusion in hepatic angiosarcoma
Abstract
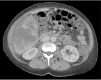
Hepatic angiosarcoma (HAS) is a rare and highly lethal malignancy with few effective systemic treatments. Relatively little is known about the genetic abnormalities that drive this disease. As a result, there has been minimal progress towards applying targeted therapies to the treatment of HAS. We describe the first reported case of a patient with HAS that harbored a fusion of ROS1 with GOPC/FIG. Similar to other rearrangements involving ROS1, the resulting fusion protein is believed to act as a major driver of carcinogenesis and may be subject to inhibition by drugs that target ROS1 such as crizotinib. We then queried the MSK-IMPACT clinical sequencing cohort and cBioportal datasets, demonstrating the previously unknown prevalence of ROS1-GOPC fusions in soft tissue sarcomas and hepatobiliary cancers. Amplification of these genes was also found to correlate with reduced overall survival. This is followed by a review of the role played by ROS1 rearrangements in cancer, as well as the evidence supporting the use of targeted therapies against the resulting fusion protein. We suggest that testing for ROS1 fusion and, if positive, treatment with a targeted therapy could be considered at the time of diagnosis for patients with angiosarcoma. This report also highlights the need for further investigation into the molecular pathophysiology of this deadly disease.
Keywords: FIG; GOPC; ROS1; Targeted Therapy; angiosarcoma.
Conflict of interest statement
CONFLICTS OF INTEREST None.
Figures




References
-
- Murali R, Chandramohan R, Möller I, Scholz SL, Berger M, Huberman K, Viale A, Pirun M, Socci ND, Bouvier N, Bauer S, Artl M, Schilling B, et al. Targeted massively parallel sequencing of angiosarcomas reveals frequent activation of the mitogen activated protein kinase pathway. Oncotarget. 2015;6:36041–52. doi: 10.18632/oncotarget.5936. - DOI - PMC - PubMed
LinkOut - more resources
Full Text Sources
Other Literature Sources
Research Materials
Miscellaneous