Skip to main page content
U.S. flag

An official website of the United States government

Dot gov

The .gov means it’s official.
Federal government websites often end in .gov or .mil. Before sharing sensitive information, make sure you’re on a federal government site.

Https

The site is secure.
The https:// ensures that you are connecting to the official website and that any information you provide is encrypted and transmitted securely.

Access keys NCBI Homepage MyNCBI Homepage Main Content Main Navigation
. 2018 Nov;10(2):62-64.

Convexity Subarachnoid Hemorrhage Secondary to Adalidumab in a Patient with Ulcerative Colitis

Affiliations

Convexity Subarachnoid Hemorrhage Secondary to Adalidumab in a Patient with Ulcerative Colitis

Lucrecia Bandeo et al. J Vasc Interv Neurol. 2018 Nov.

Abstract

The TNF-α antagonists are the drugs used for the treatment of ulcerative colitis (UC). Nontraumatic convexity subarachnoid hemorrhage is an infrequent nonaneurysmal subtype of subarachnoid bleeding caused mainly by reversible cerebral vasoconstriction syndrome (RCVS), cerebral amyloid angiopathy, and posterior reversible encephalopathy syndrome (PRES). We present a 26-year-old female patient with a diagnosis of UC taking Adalimumab. She received her last doses the same day she was admitted to our hospital for an acute severe UC exacerbation. Steroids were added to the treatment. Five days after admission she presented a thunderclap headache with photophobia, nausea, and vomiting. An MRI was performed showing left frontal convexity subarachnoid hemorrhage and hyperintense lesions on T2-weighted and FLAIR sequences located in both occipital lobes, left cerebellar hemisphere, and brainstem. Digital angiography was unremarkable. Adalimumab was discontinued but persisted on treatment with steroids. The patient evolved with complete resolution of her symptoms and was discharged with a normal neurological exam. Two months later, she was asymptomatic and her MRI revealed superficial siderosis secondary to cSAH with resolution of white matter hyperintensities. Convexity subarachnoid hemorrhage in our patient could be secondary to PRES or to RCVS. Analogous MRI findings can be observed in both syndromes, along with similar clinical and angiographic findings. This suggests that both conditions may reflect different manifestations of the same pathology, in which vascular tone and endothelial dysfunction play a major role. To our knowledge, this is the first report of a patient with severe UC and convexity subarachnoid hemorrhage associated with Adalimumab.

PubMed Disclaimer

Figures

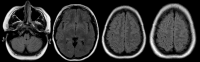
Figure 1
Figure 1. MRI 24 hours after symptoms onset: FLAIR sequence shows hyperintense signals on the left cerebellar hemisphere and in both occipital lobes. cSAH was also observed in left frontal sulci.
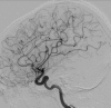
Figure 2
Figure 2. Digital angiography 30 hours after symptoms onset: normal.
Figure 3
Figure 3. MRI performed two months later: shows superficial siderosis secondary to cSAH and resolution of white matter hyperintensities.

References

    1. Pugliese D, et al. Anti TNF-α therapy for ulcerative colitis: current status and prospects for the future. Expert Rev Clin Immunol. 2017;13(3):223–233. - PubMed
    1. Cohen BL, Sachar DB. Update on antitumor necrosis factor agents and other new drugs for inflammatory bowel disease. BMJ. 2017;357:j2505. - PubMed
    1. Kumar S, et al. Atraumatic convexal subarachnoid hemorrhage: clinical presentation, imaging patterns, and etiologies. Neurology. 2010;74(11):893–899. - PMC - PubMed
    1. Moris G. Inflammatory bowel disease: an increased risk factor for neurologic complications. World J Gastroenterol. 2014;20(5):1228–1237. - PMC - PubMed
    1. Ferro JM, et al. Neurologic manifestations of inflammatory bowel diseases. Handb Clin Neurol. 2014;120:595–605. - PubMed

LinkOut - more resources