Cerebral Vasculitis Complicating Pneumococcal Meningitis
- PMID: 30756030
- PMCID: PMC6346924
- DOI: 10.12890/2018_000819
Cerebral Vasculitis Complicating Pneumococcal Meningitis
Abstract
Introduction: Cerebral vasculitis is an uncommon life-threatening complication of community-acquired bacterial meningitis.
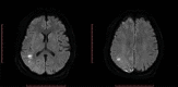
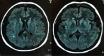
Patient and methods: We report the case of a 64-year-old woman with pneumococcal meningitis who developed parainfectious vasculitis causing ischaemic brain damage. Cerebral magnetic resonance imaging (MRI) confirmed the diagnosis. Clinical and radiological recovery after delayed addition of corticosteroid was achieved.
Discussion: This report shows that the onset of neurological deficits following pneumococcal meningitis can be caused by cerebral vasculitis. Underdosing with antibiotics and delayed adjunctive dexamethasone seem to favour this complication. There are no guidelines for treatment but high doses of steroids led to resolution in this case.
Learning points: Pneumococcal meningitis complicated by cerebral vasculitis can be treated with high-dose steroids.A repeat lumbar puncture is recommended to rule out relapsing or persistent infection in patients who deteriorate after 48 h of adequate antibiotic therapy.The cerebral vasculitis in our patient may have been caused by antibiotic underdosing and by delayed dexamethasone administration.
Keywords: Cerebral vasculitis; pneumococcal meningitis; steroids; stroke.
Conflict of interest statement
Conflicts of Interests: The Authors declare that there are no competing interests.
Figures
References
- 
    - Regaieg K, Baccouche N, Souissi B, Bahloul M, Bouaziz M. Vascularite cérébrale: une complication rare de la méningite à Streptococcus pneumoniae. Med Mal Infect. 2016;46:3. - PubMed
 
- 
    - Klobassa DS, Zoehrer B, Paulke-Korinek M, Gruber-Sedlmayr U, Pfurtscheller K, Strenger V, et al. The burden of pneumococcal meningitis in austrian children between 2001 and 2008. Eur J Pediatr. 2014;173:871–878. - PubMed
 
- 
    - Schut ES, Brouwer MC, de Gans J, Florquin S, Troost D, van de Beek D. Delayed cerebral thrombosis after initial good recovery from pneumococcal meningitis. Neurology. 2009;73:1988–1995. - PubMed
 
- 
    - Société de Pathologie Infectieuse de Langue Française. Management of acute community-acquired bacterial meningitides, except in newborn infants. Rev Neurol (Paris) 2009;165:205–16. - PubMed
 
LinkOut - more resources
- Full Text Sources
 
         
              