Neurocytoma mimicking macroadenoma
- PMID: 30775062
- PMCID: PMC6357540
- DOI: 10.4103/sni.sni_387_18
Neurocytoma mimicking macroadenoma
Abstract
Background: Intraventricular and extraventricular central neurocytomas (CN) are equally frequent among 20-40-year-old men and women. However, sellar and suprasellar extraventricular CN are extremely rare, with only 12 reported cases.
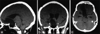
Case description: The authors report the case of a Brazilian 27-year-old man who presented with progressive vision loss during the last 4 years and serious bilateral keratoconus. We also review the epidemiological, clinical, radiological, pathological, and treatment features of the 12 reported cases. The patient developed left amaurosis and right temporal hemianopsia after undergoing bilateral corneal transplantation, which was detected during campimetry testing, and subsequently underwent magnetic resonance imaging, which revealed a huge hypophyseal tumor. Endocrinological evaluation revealed complete loss of pituitary function. The patient was referred to our department and underwent a two-step surgery (using transsphenoidal approach and cranio-orbital zygomatic approach) based on the diagnosis of an extraventricular central nervous system neurocytoma. Tumor removal was successful, and the patient was discharged at 3 weeks after admission to our department.
Conclusion: Although extraventricular neurocytomas of the brain are rare, careful preoperative consideration of its anatomy, pathophysiological features, and radiological features can enhance the treatment outcomes.
Keywords: Central nervous system; central nervous system neoplasms; central neurocytomas; neurocytoma.
Conflict of interest statement
There are no conflicts of interest.
Figures




References
-
- Agarwal S, Sharma MC, Sarkar C, Suri V, Jain A, Sharma MS, et al. Extraventricular neurocytomas: A morphological and histogenetic consideration. A study of six cases. Pathology. 2011;43:327–34. - PubMed
-
- Brat DJ, Scheithauer BW, Eberhart CG, Burger PC. Extraventricular neurocytomas: Pathologic features and clinical outcome. Am J Surg Pathol. 2001;25:1252–60. - PubMed
-
- Bresson D, Herman P, Polivka M, Froelich S. Sellar lesions/pathology. Otolaryngol Clin North Am. 2016;49:63–93. - PubMed
-
- Chen H, Zhou R, Liu J, Tang J. Central neurocytoma. J Clin Neurosci. 2012;19:849–53. - PubMed
-
- Choudhri O, Razavi SM, Vogel H, Li G. Atypical and rare variants of central neurocytomas. Neurosurg Clin N Am- 2015;26:91–8. - PubMed
Publication types
LinkOut - more resources
Full Text Sources