Schwannoma in the ascending colon, a rare finding on surveillance colonoscopy
- PMID: 30800278
- PMCID: PMC6380074
- DOI: 10.1093/jscr/rjz046
Schwannoma in the ascending colon, a rare finding on surveillance colonoscopy
Abstract
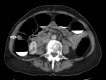
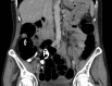
Schwannomas are peripheral nerve sheath tumours that can present as a rare tumour of GI tract, and even more uncommonly within the colon. We present a case of colonic schwannoma in an asymptomatic patient identified on surveillance colonoscopy. The tumour is of mesenchymal origin and is often challenging to diagnose prior to surgical resection. Endoscopy usually fails to provide adequate sample and diagnosis is usually confirmed on immunohistochemistry.
Figures







References
Publication types
LinkOut - more resources
Full Text Sources