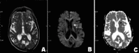
Irreversible chorea as the initial presentation of polycythemia rubra vera in an elderly woman
- PMID: 30842401
- PMCID: PMC8015536
- DOI: 10.17712/nsj.2019.1.20180301
Irreversible chorea as the initial presentation of polycythemia rubra vera in an elderly woman
Figures
 
              
              
              
              
                
                
                References
- 
    - Bhargava R, Dass J, Singh S, Vaid A. Hemichorea, a rare presenting feature of polycythemia vera. Neurol India. 2013;61:86–87. - PubMed
 
- 
    - Lew J, Frucht SJ, Kremyanskaya M, Hoffman R, Mascarenhas J. Hemichorea in a patient with JAK2V617F blood cells. Blood. 2013;121:1239–1240. - PubMed
 
- 
    - Marvi MM, Lew MF. Polycythemia and chorea. Handb Clin Neurol. 2011;100:271–276. - PubMed
 
Publication types
MeSH terms
LinkOut - more resources
- Full Text Sources
