Bipartite patella separation and partial quadriceps tendon rupture in the setting of trauma
- PMID: 30906491
- PMCID: PMC6412164
- DOI: 10.1016/j.radcr.2018.10.003
Bipartite patella separation and partial quadriceps tendon rupture in the setting of trauma
Abstract
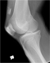
Normal development of the patella typically involves fusion of secondary ossification centers into a single bone during adolescence, with failure of fusion resulting in bipartite and tripartite patellae. In such variants, injury to incomplete ossification center fusion, though uncommon, has been reported to occur in the setting of traumatic quadriceps tendon rupture. The authors present a rare and complex case of traumatic bipartite fragment separation, patellar avulsion, and a complex partial quadriceps tendon tear confirmed surgically in a 36-year-old male. In this case, a tear in the lateral aspect of the quadriceps tendon attached to the nonfused patellar ossification center resulted in retraction of the band containing the bipartite fragment and separation of the patellar fragments, with superior displacement of the smaller bony avulsion likely due to complex attachments from the medial aspect of the quadriceps tendon. Knowledge of the classical locations of a bipartite and tripartite patella can aid in the differentiation of the anatomic variant versus patellar avulsion. Additionally, knowledge of the variable and complex nature of the quadriceps tendon aids in understanding the process of patellar avulsions and various tears, leading to the appropriate orthopedic management.
Keywords: Bipartite patella; CT, computed tomography; MRI, magnetic resonance imaging; ORIF, open reduction and internal fixation; Quadriceps rupture; Trauma.
Figures



References
-
- Oohashi Y., Koshino T., Oohashi Y. Clincial features and classification of bipartite or tripartite patella. Knee Surg Sports Traumatol Arthrosc. 2010;18(11):1465–1469. - PubMed
-
- Tonotsuka H., Yamamoto Y. Separation of a bipartite patella combined with quadriceps tendon rupture: a case report. Knee. 2008 Jan;15(1):64–67. - PubMed
-
- Woods GW, O'Connor DP, Elkousy HA. Quadriceps tendon rupture through a superolateral bipartite patella. J Knee Surg. 2007;20:293–295. - PubMed
-
- Gorva AD, Siddique I, Mohan R. Eur J Trauma. 2006;32:411.
Publication types
LinkOut - more resources
Full Text Sources