Acute Kidney Failure in a Young African American Male
- PMID: 30911422
- PMCID: PMC6398077
- DOI: 10.1155/2019/2591560
Acute Kidney Failure in a Young African American Male
Abstract
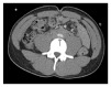
Retroperitoneal fibrosis (RPF) is a condition characterized by chronic inflammatory and fibrotic changes in the retroperitoneum that can lead to serious complications including kidney failure, mesenteric and limb ischemia, and deep venous thrombosis among others. Affected individuals may present with nonspecific symptomology that would require a high clinical index of suspicion for prompt diagnosis. We herein discuss a case of a young African-American man with recurrent deep venous thrombosis who presents with a 4-week history of constant aching pain of abdomen and back and kidney failure. Initial noncontrast computed tomogram (CT) only revealed mild bilateral hydroureteronephrosis with inflammatory changes but without obvious mass or lymphadenopathy. At the insistence of the renal consulting team to rule out RPF, a CT-urogram was performed which revealed an infiltrative mass encasing the aorta, inferior vena cava, and common iliac vessels. Laparoscopic biopsy revealed dense fibroadipose tissue, lymphocytic aggregates, focal scattered IgG4-positive plasma cells, and fibrin deposition. Patient underwent bilateral nephrostomy placement and empirical corticosteroid therapy with resolution of kidney failure. Our case illustrates a classic presentation of RPF with relatively benign findings on noncontrast CT that could have been missed if clinicians did not keep a high index of suspicion for the condition.
Figures
References
-
- Engelsgjerd J. S., LaGrange C. A. StatPearls [Internet] Treasure Island, Florida: StatPearls Publishing; 2018. Retroperitoneal fibrosis. - PubMed
Publication types
LinkOut - more resources
Full Text Sources
